Unknown

0 views9556 WordsCopy TextShare
Unknown
Video Transcript:
Oi boa noite sejam bem-vindos a mais uma palestra Mais uma Noite do nosso 1º Simpósio brasileiro de atualização em neurofuncional euroclass gostaria de agradecer a sua presença você que está nos acompanhando aqui nessa noite e antes de começarmos a palestra só então reforçar um aviso pessoal é em relação à o link de presença para quem tem interesse ao certificado e todos será disponibilizado ao fim do evento Então link será disponibilizado no chevette vai ter um QR Code aqui na tela também tudo bem E quem tiver alguma dúvida e quiserem mandando ao longo da palestra para
o nosso palestrante ele estar acompanhando Tumblr então dando início com muita alegria que hoje recebo aqui uma pessoa que eu admiro demais eu fiquei super feliz de ter aceitado o convite que o doutor Fábio ele tem uma das maiores referências que nós temos aí quando se trata de exames de neuroimagem quando se trata de na área de Radiologia e tomo alegria muito grande para mim e não sobre o Doutor Padre daquele remédio que o radiologista membro do Colégio Brasileiro de Radiologia tem especialização em neuromagia named imagem Beneficência Portuguesa de São Paulo EA idealizador do neuroimagem
na prática o Topázio mais uma vez muito obrigado viu por que aceitar esse convite foi eu disse eu tô super feliz fique à vontade viu tá ligado Rogério obrigado Hoje é ver convite para falar sobre neuroanatomia né e da aplicar usando demais e a seguinte Pessoal vocês vão perceber que exames de neuroimagem é uma coisa e é uma coisa simples tá uma coisa assim Lógico que existem doenças que são difíceis ser interpretados mas as doenças do dia a dia a neuroanatomia aplicada exames de imagem é uma coisa relativamente simples né então de tal forma que
quem sabe um pouquinho como eu aquela se destacando Eu quero falar é uma referência em neuroimagem é que o fato aqui são poucas pessoas que sabem né então recovery digitado em terra de cego quem tem um olho é rei né e por esse motivo que eu comecei a também a a investir bastante e na parte de ensino online ensino à distância é antes até da da pandemia né porque eu senti que tinha muito mais colegas suas dificuldades em coisa muito básica né como eu vou mostrar aqui hoje tá eu acho que estão vendo aqui já
né tá aparecendo aqui a tela do exame né Rogério Ah tá então beleza então assim ó da sala aqui uma coisa tão simples tão simples que eu nem os slides tá eu uso essa ferramenta bem simples aqui de já notar então é como se tivesse projetando exame na no quadro negro estivesse fazer anotações estilo exame tá a ó e vai ser mais um formato assim informal então o pessoal que tá participando acompanhando pelo YouTube Pode ficar à vontade para fazer pergunta tá Não precisa aguardar até o final é o Rogério também quando tiver vontade pode
pode me interromper tá tem 380 pessoas se não eu acho que eu nunca fiz uma lá que tão grande assim a mulher Obrigado pelo convite Então vamos lá galera vamos lá exame de né demais né então exames de neuroimagem tem que sentir familiarizar primeiro com os planos mas o momento utilizados Então tem que conhecer os planos porque eu vejo pessoal não tá acostumado direito plano axial coronal e daí veio uma alteração no exame de imagem e confunde né lado direito lados que ele tá vou passar rapidamente que com os principais planos é o principal plano
todo mais utilizado é o plano Nextel é o plano axial é como se cortasse a cabeça nesse sentido é a cabeça do paciente e E se a gente tivesse enxergando Oi manota são aqui aí você me disse tá aparecendo bem na tela tá para mim tá parecendo mas talvez fique um pouco escuro aí para na transmissão Então esse aqui é o olho tá sempre vou usar um desenho de um olho aqui para vocês terem uma noção do ponto de vista que a gente vai ter dois anos então como se estivesse olhando a cabeça do paciente
ocorre esse corte da cabeça paciente por baixo né de tal forma que a gente vai ter uma imagem com esse aspecto aqui é esse aqui é o plano axial é como se de cortar sua cabeça do paciente nesse sentido virasse o tampo da cabeça olhar super baixo Então vamos passei tivesse deitado na cama estivesse no pé aos pés do paciente e tal forma que sente estica o braço direito a gente vai pegar o pé por pé esquerdo do paciente né viu com a mão esquerda e vai pegar o pé direito do paciente então por isso
que tem essa inversão de lados quando tá olhando o corte axial e no outro plano bastante utilizado é o plano sagital né então quando assisti ele tem uma visão frontal aqui na cabeça do paciente sente fizer um corte aqui nesse sentido de se estiver olhando ó é desse ponto de vista aqui que a gente vai enxergar a gente vai chegar o plano sagital Então como se tivesse tendo uma uma visão lateral do corte da cabeça do paciente e vamos colar eu acho que é mais intuitivo né porque quando eu olhei de frente uma pessoa é
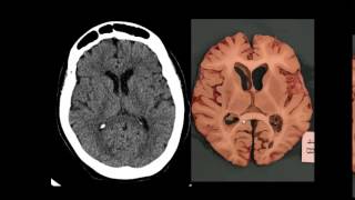
a gente está acostumado não sabe que se esticar a mão direita ela vai pegar no orelha isqueiro a pensou e vice-versa né então quando tem uma visão frontal eu acho que é mais incrível tive o pessoal não tem tanta dificuldade para entender a relação anatômica ali no exame de imagem então o pessoal que tá começando o Rogério falou que seria um pouco bem bem gordinho né que seria acompanha tal então a gente pega o exame deu demais pode assustar um pouco né então se o que parece o encéfalo é que a gente ver a superfície
dele vou começar pela tomei o bar tá foi falando de vários e depois de uma parte mais geral e depois aprofundando e detalhando a neuroanatomia do exame de Maio mas eu vou conversar com ela anatomia lugar porque eu acho que é relativamente é mais tranquilo e ao mesmo tempo é onde tem muitas dificuldades neles Olha o exame demais não sabe se a lesão tá logo frontal parietal se pelo altura do corte está no ar e tal atemporal né tem um pouco de dificuldade Então o que acontece com este óleo o exame de imagem né é
eu olho essa esse conjunto de sucos de fissuras né e eu acho que parece o mapa né e o mapa quando você olha o mapa de uma cidade que você não conhece ainda no primeiro momento ele parece complexo né Então pega joga o mapa de Londrina né esse aqui de Londrina mostrar para o Rogério mostrar para mim uma prisão Vixe né bate o olho ele procura alguns pontos de referência algumas Avenidas principais e consegue se localizar né então é isso que a gente tem que fazer tem que fazer como se estivesse aprendendo a ler um
mapa aí vai pegando. a referência Desse nosso lata né tem aqui no Oriente pega para levar Avenida Dez de Dezembro Avenida Higienópolis negócio Avenidas principais e a partir dali pode ir construindo nosso conhecimento mas pode falar dessa Avenida com a Lais tem que tal qual bairro dessa vida tua caixa aí esses bairros aqui né então a gente vai fazer isso aí vai pegar pontos de referência e construindo a nossa anatomia Então deixa eu começar aqui pelo plano sagital pelo plano sagital gosto no corte mais lateral eu vou olha só começa a minha Olha dá uma
olhada nessa Diferentes né então esse corte sagital aqui ele corresponde a um corte mais lateralizado na cabeça do paciente ta isso é essa imagem que eu escolhi essa linha azul aquilo que você estava essa linha vermelha no plano axial tô vendo aqui na região mais lateral ali do cérebro né nessa região mais na superfície mais na superfície lateral e jamais lateral um corte mais lateral do Chefe pelo sagital e se tem uma grande Avenida aqui que não pode ser um ponto de referência interessante né essa avenida principal aqui é o lateral e foi principais escrita
esse esse suco grande isso foi escrito por um pesquisador chamado silvios Então posso te chamar de fissura de sylvius a atriz foi homenagear os Yuri não escrever os Porque tem uma lesão extensa cometendo toda a região aqui ao redor junto esse suco lateral vocês foi homenagem a gente vai para homenagear de forma correta nem também vai escrever que é uma lesão perisilviana né aí homenagear os fios na Sílvia é você só se querem com isso meu pai eu falei que não gosto muito de apoio mas se for o argônio e né vamos tentar usar de
forma da forma mais correta possível e é esse essa Grande Avenida esse suco lateral que fica bem Evidente né na superfície lateral do cérebro ele vai ser para alguns bairros do bairro do e logo frontal aqui mas anteriormente ele vai colocar e tal logo a frase de São Paulo para baixo aqui de lobo temporal mais posteriormente tem um lobo occipital é eu vou começar pelo lobo frontal porque é um bairro que é relativamente mais organizado não temos Marcos atômicos de pelo menos um exame de imagem essa mais facilmente reconhecidos então fica mais fácil delimitar as
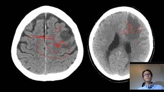
sub-regiões ali do desse bairro né do lobo frontal tá E para começar a escrever o lobo frontal eu vou começar aqui no plano axial e eu vou subir o corte olha só essa linha vermelha de referência Verde aqui no coronal eu vou lá no topo da cabeça tá eu vou lá no topo a Escort mais creais é que eu vou ter alguns Marcos anatômicos bem interessante Então o que que vai delimitar posteriormente quando os seus limites posterior do alto frontal vai ser o suco Central tá suco Central então aqui está o suco Central Existem algumas
dicas presente delimitar suco Central tá é existe umas dicas para experimentar esse suco Central é o primeiro é essa morfologia né então show apagar aqui Ah tá Se você reparar quando eu giro giro cortes né óleo eu dou uma virada aqui no corte axial o sucos Então essa é a morfologia que lembra a letra grega Ômega né agregar o homem é às vezes é uma letra grega meio de torcida é então chama e sinal aqui de sinal do Ômega invertido né porque a letra grega Ômega mais de de ponta cabeça mas depois cabeça deixar o
seu do gancho também que parece um gancho então via de regra esse sulco aqui que parece um a letra grega Ômega é o sulco Central o deixou escrevendo aqui no lado a as dicas da o pessoal consegui anotar então sinal do negar invertido outra dica a localizar os dois sucos aqui que tem uma orientação paralela né que são sucos pré e pós Central Então os esses dois dias Jesus pré e pós Central onde ficam parte importante das áreas motoras e sensitivas primárias eles têm uma orientação paralela né aqui no da superfície dorso lateral na convexidade
cerebral é e eles vão delimitar que o suco Central bom então esse aqui é outra dica colocar aqui para vocês os dois giros paralelos Oi hoje dos paralelos outra dica a gente pode procurar é o suco sem sulco frontal superior é esse suco aqui que ele corre no sentido longitudinal né e corre na direção aqui do maior maior eixo do creme e ele é um sulco longitudinal mais superior então sulco frontal superior ele via de regra e vai terminar no suco pré-central e vamos escrever aqui sou Goku frontal superior terminando só no suco pré-central e
para central não sei aqui tá tendo surpresa Central Sem que o próximo suco ao sulco Central portanto eu sei que aqui está o limite né posterior do sulco frontal aqui na superfície dorso lateral ou na complexidade cerebral é deixa eu apagar aqui vou trazer que a gente pode utilizar também é esse suco aqui o que fica tocando a superfície Medial dos hemisférios cerebrais a esta morfologia característica aqui ela é chamada é chamado sinal do Bigode né então fica parecendo bigode aqui no plano axial lá no topo da cabeça tem que ir lá na alta complexidade
ele que vai procurar esses pontos diferentes Então a gente tem o final do bigode do bigode de corresponde ao rapaz mais de nariz do suco do cio tá Não se preocupem para que não tá acostumado com esse esse tempo parece um palavrão né o nome que assusta um pouco mas é uma coisa que realmente simples que a gente vai ver daqui a a avaliar a superfície medial do lobo frontal frontal e parietal na verdade né então o que tem a paz marginais do suco docinho e qualquer dica que desses Nacional do Bigode é via de
regra o super centauri toca as a superfície Medial aqui do hemisfério cerebral né e o sinal do Bigode ou pais imaginários porção Marginal do sulco do cíngulo ele fica um pouquinho posterior em relação ao sulco Central Então quando você vai acompanhando aí o suco Central achou o sinal do Bigode o próximo suco logo à frente dele é o Central então eles têm todas essas dicas Porque é importante saber mais de uma dica é porque às vezes uma das dicas tá dos pacientes têm uma variação anatômica né Aliás o ômega por exemplo não tá com o
ômega assim tá o melhor meio torto fazer o suco Central na casa exatamente ali no super é Central Então é bom você sabia conhecer mais de uma dica né porque eles Uma delas pode notar não tá tá muito e Líder né E quando você tem uma lesão expansiva quando tem uma distorção do parênquima você tem esse conhecimento aqui né de todas essas dicas vai ser bastante útil para que mesmo você tem um deslocamento do suco central por uma massa por exemplo as relações anatômicas vão estar presente sustentável curso lá terminando do suco peça Central os
dois dias vão curso na paralela pode ter empurrado quando está deslocado eu efeito expansivo Mas eles vão continuar Paralelos né então é muito importante saber reconhecer as principais dicas aqui e por enquanto tudo tranquilo tudo tranquilo é Ah é Então tá então se tem o limite posterior aqui né da do da convexidade do superfície dorso lateral né do lobo frontal eu tô falando superfície dorso-lateral tô falando essa superfície permite a visão frontal aqui então eu tô estudando essa superfície aqui por enquanto eu vou gostar com essa superfície depois eu vou aqui para superfície Medial né
e depois lá na frente e lá mas nós pega mais um ter logo frontal onde vai estudar superfície inferior também eu vou conversar aqui falar tudo da superfície dorso lateral ou convexidade cerebral A então aqui eu já consigo imitar o limite posterior e para estudar o restante a superfície dos lateral vai ser eu posso estudar nos diferentes planos então uma dica aqui né do do seu frontal superior consigo ver tibino por Maxwell lá no corte mais superior ela tem uma visão mais panorâmica do da superfície dorso lateral do lobo frontal Eu Posso avaliar através do
plano coronal ainda eu posso procurar o suco mais profundos que eu estou observando aqui a direita que são sucos frontal superior sulco frontal inferior é esses dois sucos e vão separada em três giros né giro frontal superior Oi viu e médio a e i o u o cabelo né não tem nenhum mistério tão super super frontal superior e inferior às de um super a superfície a complexidade cerebral e frontal índices locais superior médio e inferior a separação aqui entre os contar os juízes soltar superior e Médio consigo identificar facilmente do plano axial com hoje eu
demonstrei identificando-se suco mas é mais creme alma superior a surgir o sanpaku inferior vai ser bem interessante da gente estudar aqui no plano sagital é porque a quintessência da no plano sagital porque têm uma morfologia bem característica é existem alguns Ramos aqui do sulco lateral o que estuda de sylvius quem já estudou lá no começo Que bom lava morfologia é característica aqui para o giro frontal inferior ele vai ficar com um aspecto de um de um ele tá vendo fica parecendo ele né esses essas ame peças notificações estamos aqui do sulco lateral vamos um giro
frontal inferior em uma porção que está mais relacionada que a horta isso aqui na Pontinha aqui do globo ocular órbita até aqui né então tem uma porção a orbitária uma porção que é triangular chamado de porção triangular uma porção que a chamada de opercular né na neuroanatomia é não só no Neonato mina na anatomia anatomia dos peixes né nas anatomia na natureza né tudo que a gente sempre fala de opérculo está falando de alguma coisa que está recobrindo ao tá então no encéfalo a gente tem os opérculos das vezes operculares são aquilo as regiões de
serra que recobrem isso então que é cobra é isso e essa porção que fica escondida numa região mais profunda aqui da do hemisfério cerebral são chamadas de regiões operculares então se a região mais posterior aqui do do Giro São Paulo inferior né que subsubdividida que precisa notificações mais uma vez do o chocolate grau é chamada de região é porção opercular tá testar tem porção opercular do lobo frontal a porção opercular do proprietário versão opercular do Lobo temporal tá então são todas as regiões que recobrem aqui é isso tá então dessa forma a gente consegue estudar
e identificar facilmente aqui no exame demais né Principalmente no plano sagital é então vamos ajudar muito interessante para avaliar o giro frontal inferior que a gente consegue fazer essa subdivisão aqui do do Giro frontal inferior né eu sei que a gente falou para interior ela tem que olhar porque tá acima aqui do sulco lateral que ela nossa Avenida nosso o nosso grande ponto de referência né suco lateral para baixo e tem um lobo temporal Então passa a planta já fica muito mais fácil eu não tô né que será pode pode ser um pouco mais difícil
né para tentar começando Mas você tá no se corte aqui e sabe que eu tô no giro frontal inferior eu já começou o temporal aqui né por ele pode dar umas a rodagem no começo então o nessa vida missão no plano sagital fica fica bem interessante desse tipo eu descubro agora vão para a superfície Medial tô lembrando mais uma vez que a superfície Medial a gente vai conseguir avaliar melhor no plano no plano sagital tá então a superfície Medial gente vai pegar essa superfície aqui né colocar o gordinho aqui de novo a gente vai ter
esse ponto de vista aqui do nosso hemisfério cerebral tá a gente consegue identificar aqui no condições estavam lá na superfície Medial então nós preciso Mundial não tem jeito tá eu não vou conseguir falar isoladamente do frontal que logo frontal ótimo superfície Medial ele tem uma íntima relação com o sistema lhe né e a separação fica tão Evidente assim com logo para de tal então eu vou estudar em conjunto algumas outras outras estruturas na superfície Medial realmente pessoal tem facilidade para identificar o corpo caloso no corpo caloso é mais fácil tem que o corpo caloso que
eu vou conversar com ele e depois do subindo tá então tá aqui o corpo caloso que é um conjunto de existir a substância branca é comunicando um hemisfério cerebral o outro tá o clichê o corpo Este não é nada mais que um conjunto de fibras docência Branca cruzando a linha Mary superiormente ao corpo caloso eles têm um grande giro alongado pele na serra e daqui a pouco mais fininho tem um grande giro alongado que abraça todo por caloso tá hoje tudo bem alongado E porque essa morfologia alongado aqui no plano sagital ele é chamado de
giro do cíngulo é símbolo do latim quer dizer sim né então é um sítio que abraça que o corpo caloso vendido alongado delimitando o sulco giro do sertão o cursinho é o suco vai dormir tarcyo sim então suco do cio e quando chega na região mais posterior aqui na superfície Medial ele tem um trajeto a semente O que é porção Marginal dele papai imaginários tampar imaginários ó não faz mais nada né o suco doce faz mais velhos porque o marginal sucuzinho vai terminar lá na complexidade na superfície dorso lateral do hemisfério cerebral como aquele sinal
do Bigode né Então deixa eu colocar aqui em dois planos ao mesmo tempo vai ficar mais fácil de entender então esse fiapinho aqui eu tenho Então essa porção ascendente aqui do suco docinho ele vai terminar aqui nosso convite ainda nesse bigodinho aqui né então ele vai ser um ponto de referência mais uma uma dica né para este saber identificar o sulco Central tá e essa porção Marginal do suco do sigo ele vai delimitar posteriormente uma região eo padrasto e que é chamada de logullo para central logo tá no modo logo pulou para central o primeiro
vamos delimitar logo para tu entrar depois escrito por quê que é importante então logo do para central é tão interligados que posteriormente pela pela parte imaginária do suco docinho ler anteriormente tem um ramo que nem sempre está presente tá é meio variáveis aqui mas então suco mais profundo aqui é o suco para central então para central dele inteiramente tem essa região aqui que é chamada de lóbulo paracentral é o que tem de importante aqui no lóbulo paracentral quem é é só retomar letivo quando axial a gente consegue ver os vírus para ir para o Central
no giros pré e pós Central A gente vai ter as áreas motora área motora fica aqui no giro pré-central área motora primária né E era sensitiva primária de boa parte do corpo Então essas áreas motora primária motoras sensitivas primárias elas não se não tem uma continuidade na superfície medial do hemisfério cerebral então quando a gente faz aqueles tudo lá do homúnculo de penfield seja motor o sensitivo Esse é um bebezinho lá domingo né ele não termina aqui né ele se continua na superfície Medial que essa região aqui chamada de módulo para central tá então dessa
forma consegue delimitar com uma certa facilidade aí jogo Logo do palco central Então você fica paciente na lesão que você conseguir identificar no plano sagital aqui próximo a minha média envolvendo-se corre tem que ser a superfície Medial posso fazer em pode ter um teste motor esse estilo envolvendo os membros inferiores Além disso também aqui tá a parte do controle esfincteriano voluntário então paciente pode ter um teste do controle esfincteriano quando tem 18 nessa região também tá temos tem aqui se uso deixa eu desenhar de novo aqui o giro do cíngulo me abraçando o corpo caloso
Esse É O lóbulo paracentral anteriormente aqui é o auge do sim mas tem uma continuidade assim como é que é uma continuidade representa em boa parte uma continuidade dos vírus para ir para o Central aqui a gente tem uma oportunidade do Giro frontal superior tá então toda essa essa superfície aqui está vendo vai continuar do Giro frontal superior que tem gente que diferencia né chama de giro frontal Medial a é uma continuação da superfície medial do Giro frontal superior essa região aqui do Giro frontal me de audiência para o superior fica aqui a frente do
logo para central fica mais importante que é chamada de área motora suplementar a área motora suplementar E aí anteriormente de área motora suplementar ela vai ter um limite mais ou menos passando aqui esse traçando uma linha imaginária pelo rosto do corpo subindo ele vai ter um em mim vai poder de limitar mais ou menos o na anteriormente a região do Alemão suplementar então de lobo frontal aqui na superfície Medial que a gente vai ter a gente vai ter um giro frontal Medial né levar esse continuou aqui mais anteriormente ele dá faz uma curva e passa
aqui e inferiormente né pelo abaixo aqui do da região do corpo caloso e fala essa região aqui bazaldo logo frontal e posteriormente qual que vai ser o limite vai ser os aparelhos marginais do cio não vai ser é porque nessa região parada aqui eu tenho uma extenção a superfície Medial e principalmente né do dos vírus é posso entrar então esse finalzinho aqui de suco é uma Speedo o suco Central então o suco central e delimita né então a daqui para frente eu tenho logo frontal aqui para trás vou ter logo parental off oi tá tudo
tranquilo e Por enquanto nenhuma dúvida beleza o podem podem me derrubar tá como vocês estão vendo aqui é uma é um formato bem informal e pelo Não precisa não não precisa ficar com vergonha de me interromper e o é é é um bigode estiloso né é o bigode de parece do Salvador Dalí né pra alma tem uma referência mais mais moderna aí para quem não sabe que isso é verdade ou é a máscara lá do da casa de papel aí tem aquela máscara lá representou então é o bigode mais mais estiloso né para curtir para
cima ó Ah tá então dessa forma a gente já deu uma visão geral aqui né da superfície medial do lobo frontal a complexidade os perfis dorso lateral e vou molhar na superfície inferior Que desespero é bem tranquilo ó e vai ter que dar um pouco da Imaginação Aqui também tá como vocês podem ver né a superfície inferior do Lopes vontade ele fica ele se se apoia aqui na região do teto orbitário então ele tem uma morena dessa meu oblíquo aqui né então vou angular um pouco corte para ficar mais a tentar ver o máximo possível
da superfície inferior no corte só é meio difícil mas eu vou tentar aqui então Quais estruturas que a gente pode delimitar aqui na superfície de interiores pode ver se grande giro alongado o seu aspecto reto eu tiro reto não tem segredo né direto desde o conjunto de sucos aqui na superfície inferior que nem sempre nesse caso aqui não tá não tá muito bem delimitado não mas tem que tentar usar a imaginação tá é pai ele vai ter que dar desenhar que vagar tá tão conseguindo desenhar o h e vai conseguir separar superfície inferior o restante
né além do direto em giros orbitários Ah e tu fala intuitiva aqui tá não tem muito segredo agir orbitar anterior e posterior Medial e lateral de morrer acho que serve como um lesões na região for basal no máximo separa-se o giro reto né Na hora de escrever o nosso radiology bom então dessa forma e conseguiu ter uma visão geral né de como fazer uma subdivisão aqui do lobo frontal tem um partir para o lobo parietal e o som da angulação de desconector tu o lobo parietal então o aparelho se do suco frontal para frente eu
tenho logo São Paulo diz o que são Central para trás Eu tenho um lobo parietal que vai começar aqui no giro pós-central que onde fica a parte importante da área sensitiva primário né E daí a aqui já símbolo do Lobo parietal para tá enchendo passa a ter um pouco menos de previsibilidade dos macs a todos teste não consegue ter tantos detalhamento como tem lá no lobo frontal tá que a gente vai poder identificar geralmente no altar e tal aqui na superfície dorso-lateral a complexidade do autor e tal a gente pode ver esse suco aqui ó
tem uma orientação longitudinal que o sulco intraparietal que vai separado aí a essa complexidade ou superfície berço lateral do Atleta ao em logullo parietal superior e logo do parietal inferior ao longo do palhaço per la parità inferior no lóbulo parietal inferior a gente vai conseguir estudar melhor aqui no plano sagital e e no plano sagital e vai ter dois dias importantes que no lóbulo parietal inferior a gente vai ter esse giro aqui ó aqui vai falar como se fosse uma capa para essa porção mais terminal mas posterior mais Marginal aqui do sulco lateral ou fissura
de sylvius né então a gente tem que ter um giro que ele vai ver cobrir essa força Marginal que é chamado de giro supramarginal e posteriormente ao giro supramarginal a gente vai ter um giro angular tá então esses dois giros que vão ficar localizado aqui na região do Lobo parietal logo para cá inferior a Imagine que o Rogério estude mais a parte funcional agora ficar mais pedir olhar cortical metal posterior Como que Como que é o nome da autora que cê usa mais Rogério eu posso fazer se você faz você perder mais funcionam né Ah
tá E então é só isso mais nada todos que eles conseguem dividir pelo menos consegue dividir ele sair logo do paredao superior e inferior e consegue definir nessa de uma lesão estudando que pelo pelo e lá reconstrução sagital pelo menos a gente consegue identificar se levantar no giro supramarginal está no divã Goulart e quando a gente vai ter na superfície Medial nessa superfície Medial e fica mais fácil a gente ir eles aqueles Marques atômico né então hoje bate o olho aqui daí eu tenho que ir lá do suco do SIM outra porção Marginal do suco
do sigo tem esse finalzinho aqui é isso comigo todo se essa reconstrução aqui deixa eu tentar Tássia logo então eu tenho a parte mais do cursinho é que é o suco a pontinha do suco Central né então daqui para trás eu tô tenho o autor e tal bom então parte tem que levar de parte aqui do logo assim que ela faz parte logo caretão' também mas vai ter isso é de falar mais bem delimitada aqui mas região Um item chamado de procure por que que a gente preco me Então aqui tem esse grandes sulcos que
mais vende limitado porque o suco eu faria do hospital o suco pajeto Hospital Eu pensei que você falou logo paretal do do logo hospital aqui na superfície Medial tá e é isso não tá falando exatamente do do logo hospital agora mas aqui na superfície Medial longos fritamos tem essa região aqui que é chamada de o coelho deve falar de Cunha aqui chamado de cooler então está na frente do colégio é o preco tá então o pré-cuneo ele vai ser delimitado anteriormente pelo pela página de nada aqui do suco docinho é e posteriormente que pelo suco
Pareto hospital essa região aqui mas posterior né na superfície Medial é o preco no tá então dessa forma e consegue ter essa delimitação as precisa aqui né do metal na superfície Medial e eu vou continuar aqui no na superfície Medial já diz começar a escrever logo hospital tá o novo paredão hoje não vai avaliar superfície interior né não logo abaixo do hospital mas não tem uma superfície interior conhecer logo frontal e no logo temporal por exemplo Então vou continuar aqui já na superfície Medial falando do hospital está aqui o suco Pareto hospital você foi no
lobo parietal do logo hospital é que a gente vai ter um suco importante que é o sulco calcarino né então ao córtex visual primário ele fica junto aqui o alcalino né e inferior mente aqui em já tem a tenda cerebelar tendo a cerebelar ou território eu tenho Celebrar o território que de modo geral A Tenda cerebelar ela vai ajudar a dividir nosso compartimento intracraniano e um igreja compartimento acima da Tenda ou Território que é chamado compartimento Supra territorial e um compartimento fica baixo dele que eu compartimento infratentorial [Música] E aí então gente usa essa nomenclatura
aqui para mim assim que olhar ou abaixo da do território né não pode usar sobre nem com a tua aqui também para descrever se a lesão tá açúcar tentorial em territorial ou também compartimento então atender a chamada de fossa posterior né a Peppa então esses tem a a tende a se rebelar né que delimita e vai ser o limite inferior aqui para tu daqui para baixo e já vai ter a face posterior compartimento infratentorial Queria poder chegar no CD dele então aqui esse aqui que eu consigo enxergar a superfície Medial orgulho né E esse giro
esse giro aqui conforme vai correndo as imagens aqui no meu corte sagital sabe que ele é um livro que ele fica ele é alongado ele se continua com raiva com ele os cortes ele se estende mais anteriormente lá em direção ao temporal né porque essa amor você essa configuração que mais alongada e também chamado de giro lingual giro lingual que faz parte de um giro bem alongado chamar de um giro occipito-temporal Medial na também tem muito disso né de nomes autoexplicativos né olha só um giro o shipito a oral Então vamos ver aqui tá pronto
lado occipital quando logo temporários a porção esse posterior 8 e faz a superfície Medial igual Hospital também chamado de giro lingual lingual [Música] a ver alongada com esse mais língua Ah tá então é só essas essas duas duas regiões anatômicas importantes que a gente consegue avaliar aqui no plano sagital e na convexidade na comer cidade aqui do hospital a gente não tem estruturas anatômicas estão bem definidas Assim na verdade é difícil até de separar o logo Hospital do da complexidade Ali dos nossos temporal e Logos e logo parental aqui na região mais inferior esse tem
um marca anatomic gente pode identificar no plano axial que é um suco que nem um pouquinho mais profundo eles está com um pouco em relação aos demais mas é para quem tá começando por ser um pouco difícil tá que é a incisura pré hospital tá então a esses usa pré hospital ela vai ter limitar a anteriormente aqui é o lobo parietal se tá com dificuldade uma dica você procurar ou numa imagens pós-contraste ou numa imagem ponderada interiores mas estrutura vascular que vai ficar mais proeminente nessa região que havia de la B desde lá e via
de regra via de regra ela corre aí nessa estrutura para o hospital tão as veias corticais né na as artérias elas ficam os aspectos bem bem escuro aqui que é chamado de flor voz né então os prótons passam de forma tão rápida nas estruturas vasculares que não gera sinal então escuro a gente não tem geração de não tem captação do sinal Então essa tem uma veia cortical que um pouco mais proeminente isso tem que no corte quase lá no território tão vendo aqui a tende a se rebelar é o território é o contando corte Life
quase chegando na base do hospital identificou a vegelab ele né onde tem aviso abrir a verde labret a direita um pouquinho menor mas geralmente Ela Corre lá e se usa para o hospital e daí você pode formar canal toca interessante pra você saber se tá no hospital ou no lobo temporal mais inferiormente e mais superiormente a gente pode usar a e o suco para o hospital mais uma vez né então o surpresa Hospital a gente conseguiu ver aqui no plano sagital e fala mais fácil né é um suco bem proeminente Ortiz e para os lados
parietal do hospital mas esse mesmo suco a gente pode identificar também no plano axial é só isso correu ele vai para o bar correndo os cortes axiais corre para cima para baixo e quando você viu o suco mais profundo aqui ó na superfície Medial né Lembrando que essas essas superfícies que a gente tá vendo aqui no plano sagital o mestre do time condições tal mesma coisa que a superfície aqui olhando de lado assim né tô sabendo de lado essa superfície aqui então procura aqui na superfície Medial sulco mais profundos até o sulco parieto-occipital esquentou no
Excel e deixe vai correndo acidente de ter uma orientação obliterante colocarem de diferentes vão conseguir entender que fala mais fácil a gente vai correndo entre os cortes lá o senhor parede do hospital Será que ele vai ele vai ele vai começar a ficar mais posterior porque osso parietal tem as lentes são Zika né que vai ficar mais posterior é bem quando acabou suco para do hospital suco mais profundo aqui na superfície legal eu sei que eu não tenho mais é mais logo logo hospital meu daqui eu só tenho daí logo do parental tá e na
superfície aqui dorso lateral na conectividade cerebral é eu vou ter uma linha imaginária tá comunicando esse suco paleta vai aparecer o hospital aqui mais super a mente a incisura para o hospital lá embaixo Então os mausoléus e traça uma linha imaginária que acompanhando os paletes para o hospital você consegue fazer uma divisão aqui no conexão entre Logos e tal e hospital tá então assistente os bairros aqui na região mais posterior não são tão organizado assim por isso que eu gosto sempre de começar a escrever anatomia mobile pela região frontal Ah tá certo então vamos para
o lobo temporal Lobo temporal e travou não sei travou tá tá tá ok mulher eu não sei se travou não hein G1 I believe in o lobo temporal é eu gosto de começar aqui pelo pelo corte coronal que eu consigo ver a tem uma visão panorâmica de todo logo temporal a ver a chover um corte aqui mas até aqui esse corte que corte aqui escolhe que tá interessante da mesma forma que lá no lobo frontal eu eu vou procurar suco mais profundo que ele não veio instalar bota temporal acho que tá fácil pessoal reconhecer esse
suco mais profunda aqui ó é o suco lateral eu preciso existiu e existe no plano coronal é aqui tem um suco circular da ínsula que delimita a isso aqui é que o suco lata ela é daqui para cima tem o lobo frontal ele aqui para baixo tem um lobo temporal Então tudo tudo isso aqui vai ser a para compor o lobo temporal né então tem esses dois sulcos mais profundos aqui na superfície lateral que vão separar o e ficou combinado comenta a ligação que ficou o meu comer filho então eu vou separar aqui em giros
temporais superior médio e inferior São dois sucos a frontal superior e inferior vou separar giros temporais temporais superior e inferior de separando giros temporais em giros temporais superior médio e inferior o ouro não sei se acho que aqui no lado direito que tá mais fácil que o corte aqui tá pegando meio like então que acho que vai ficar mais fácil de deixe de gala no sul temporal superior sustentar inferior giros frontais de temporal giro temporal superior um giro temporal médio o velho giro temporal médio e giro temporal inferior e o giro temporal inferior ele vai
ele começa aqui na superfície lateral e continua aqui na superfície inferior tá olha começa aqui na superfície lateral continua aqui na superfície inferior o próximo giro aqui já na superfície inferior ou região basal no lobo temporal vai ser um giro chamado de giro fusiforme giro fusiforme na sequência quis tem um giro parahipocampal que fica ao lado da formação hipocampal uma região aqui que é chamado de porção mesial temporal tudo você região aqui que eu tô circulando aqui chama de descreve como porção medial do Lobo temporal é igual Unicamp giro parahipocampal e formação hipocampal a formação
hipocampal esse rocambole aqui esse conjunto de estruturas que ficam enroladas aqui é é preferível chamar de Formação hipocampal porque ele engloba não só o hipocampo propriamente dito né que o hipocampo também de ser o c**** de amor mas uma região cortical dia senti ali do sub ículo e o giro denteado né então é preciso de chamar essa é melhor chamar de Formação hipocampal porque você não corre o risco da ID de errar nessa uma coisa temos mais Genesis acham Se você acertar é maior eu tenho a formação hipocampal aqui né parece um rocambole misturar arredondada
no coronal né E esse primeiro giro a gente observa aqui é o giro parahipocampal um a chover temos no lobo temporal como que isso pode continuar então superfície lateral de perfis lateral Então vou gostar os perfis é que você vai visão panorâmica né então vamos ver o a superfície lateral do temporal aqui no plano sagital ou a gente vai aqui no plano sagital e é logo abaixo aqui do suco lateral o que surgiu começa hoje tem o lobo temporal primeiros dias vai ser um giro temporal superior né né conseguir essa funcional de importante saber conhecer
que tem de importante no aspecto posterior classicamente é descrita como uma área chamada de área de inverno e a junta que eu giro temporal superior tem um giro que ele tem uma alimentação transversa tá ele vai correr se for aqui no ponto axial que vai ficar mais fácil de entender que esse tema orientação transversa fazer o giro temporal superior giro temporal médio ele tem toda a ter uma alimentação mais anda e o posterior decidir o temporal aqui tem um giro temporal tem esse alimentação transversa aqui ó tá vendo ele corre paz que Horizonte horizontalmente então
quando eu vejo aqui no sagital qual foi o corro demais no plano sagital e vai ficar com aspecto de bolinha aqui né e é um giro temporal transverso ou giro de eixo o que até onde fica o córtex auditivo primário tá giro de eixo e eu posso observasse né no plano plano sagital e como ele é meio oblíquo aqui não do coronário e também fica uma bolinha também como eu vou correndo os cortes esse cavalo junto aqui é o ao giro temporal superior Ah tá certo é isso é I e II e o giro lingual
lembro que eu falei que hoje tudo igual ele faz parte do giro ou se tô temporal a Medial né que e olha deixa deixa o está falando a formação hipocampal a formação hipocampal Ele parece um rocambole enrolado aí no plano coronal essa estudar meu roladinho aqui no colocou lá no plano axial ele vai estrutura alongada né de parece um parece um camarão né que eu não sei o número isso aqui deixando logo os corpos aqui no next Agora vai ficar e consegue enxergar o hipocampo em toda sua extensão em média misturar um gato aparece um
camarão é e me inferior medialmente eles têm essa estrutura que tem um giro parahipocampal decidiram aqui ó é o primeiro jeito que fica adyacente de Formação hipocampal é que no plano axial ele vai terminar mais anteriormente nessa região mais protuberante aqui né gente é chamado juntos então um Cruz é a terminação ali a região mais anterior do giro parahipocampal giro parahipocampal determinada região é chamada de um e a já senti algo gente tem essa estrutura ovalado aqui né parece uma almôndega que é chamada de amido é amiga realmente quer dizer almôndega né então esquece estrutura
ovaladas e te chamar de amigo então só estruturas importantes né do sistema e que a gente tem aqui na porção Medial nova temporada textura lado de cá logo à frente de hipocampo que a vida essa força e o término aqui da do pai O que é Hugo ta Hugo esse projeto aqui nessa região que é chamada do sistema crural eu não vou falar hoje sobre os externos aqui da base né mas eu vou o espaço de cólica eu tive do do espaço subaracnóideo mais proeminente hoje talco Hipólito maior era a gente consegue observar relação anatômica
importante que tem que com o nervo óculomotor agora não legal com motores áreas externa e interna interpeduncular e ele tem um trajeto muito próximo aqui é o único jeito não sei que é uma relação à toa que importante na avaliação principalmente pacientes com trauma ou com alguma lesão expansiva fazendo deslocamento medial do óculos né juntos se desloca medialmente ele comprime facilmente que o nervo oculomotor e daí para o comprometimento das fibras para simpáticas né do da animação para simpática do nervo óculomotor paciente acaba ficando com anisocoria bom então é isso logo temporal eu acho que
esses são os principais Marcos anatômicos que a gente conseguir consegue observar então com essas esse ponto de referência que eu falei para vocês é possível é pelo menos ter uma uma localizada é possível se abrir o exame e saber de dizer onde está a lesão onde está a alteração radiológica do paciente EA partir do conhecimento funcional né que vocês têm aí com o Rogério o dos professores é possível fazer uma correlação Clínico a radiológico fala tomei o barco anti passa aqui para região profunda escolhe aí Rogério Silva ventricular ou anatomia profunda et200l cerebrais que eu
acho que não vai dar tempo de falar de tudo não é eu nunca usar base tá é então fica gente consegue identificar facilmente no exame de imagem aqui né na região dos núcleos da base a gente tem o núcleo caudado único cavalo ele é um lucro bem alongado aí fica difícil definir individualizar ele um corte único né porque ele tem uma ele é um nós temos estrutura bem alongado É esse aqui é o meu Portal da Lu tá vendo e também mas tudo é bem horário falamos filho vai até a região de acidente deu o
quando temporal do ventrículo lateral então ele ele tem orientação bem o lado bem bem curvilínea né então este não consegue ver imitar ele um único corte mas tem alguns pontos algumas porções deles dedo no que qual dado que são facilmente definidos no quarto axial uma dessas regiões é a região do da cabeça negativo de cabeça do caudado ela ajuda a dessa conformação parte do essa região o lateral que é o forno frontal do veículo lateral então coisas frontal do ventrículo lateral e pensa a morfologia é curvinha aqui né Bem bem afiada devido a ser impressão
causada pela cabeça do núcleo calado tá quando você tiver diante de patologias doença que evolui com sistemas motores e que tem como substrato patológico um processo degenerativo com atrofia no causado é como doença de hum estão ou o syndrome ranges To Life é tem uma atrofia da cabeça do calado vai vai acabar tendo uma proeminência maior aqui do couro frontal 94 existe uma íntima relação a morfologia no volume do núcleo caudado na cabeça causado principalmente com a morfologia do sistema ventricular eu e mais posteriores superiormente eu vou correr aqui Os cortes na minha diferente eu
vou subir um pouquinho nem tô cortar agora essa região mais superior aqui do lugar lado então dessa região mas superior no colégio que acompanha o corpo do ventrículo lateral que é o corpo do núcleo caudado caldo do a região mais época eu posso inferior aqui do caldo fica mais fácil mas difícil identificar né usando demais com sua identicamente lesões no corpo do cavalo e cabeça do núcleo caudado É mas lateralmente aqui e consegue facilmente identificar é um outro núcleo da Barbie que Campo Thammy tá então a gente tem a cabeça do núcleo caudado a gente
consegue de alimentar aqui o por Tammy Ah tá Tipo Thammy mas medialmente a fingir tem o globo pa né Fica um pouco mais difícil um pouco mais apagada a gente vai ver diante de situações patológicas né quando tem depósito distância causando alteração do sinal no gol Palio e mais medialmente existe tem o talo tá no tava coifa digital mas não tá falando de núcleos da base não Mas é interessante delimitar ele aqui quando vai estudar certo essa Anatomia da região profunda porque o tálamo e em conjunto com os núcleos da base aqui nesse vídeo ele
ajuda a delimitar essa região aqui que é a cápsula interna tá então o exame de mais gente consegue identificar essas três regiões do da cápsula interna existem outras regiões da cápsula interna mas não são tão facilmente delimitados no exame de Maio né Então quais são as regiões que a gente consegue definir com certa facilidade que nos cortes axiais é o ramo anterior o som interno o joelho da cápsula interna e o ramo posterior no ramo anterior é por onde passa o trato foi outro com um quilo né aqui no joelho passa o tato corte cubo
bar e aqui no ramo posterior é muito por onde passa o trato córtico-espinhal né então você fica enche procurar por lesões aqui justifique na mitologia ou paresia do paciente a gente vai procurar por lesões acometendo essa região do ramo posterior da cabeça interno né ele tem uma região também uma porção retrolenticular ele Valente Pular mas não não podem ver não fica tão bem definido assim pelo exame de Maio né reto lenticular então reticular porque esse conjunto aqui entre por Thami o thamis mais globais e falam núcleo rádio no que o dente Fábio aí parece uma
lente que fazem lentiforme lateralmente aqui a gente tem a cápsula externa a extensa faixa de se ver que a gente tem três semanas tem três cavalos né cápsula externa essa camada aqui de substância gente tem o claustro e mais internamente a gente tem a calça extrema né e um pouquinho mais superficial vou mudar Só um pouco janelamento aqui e já vai ter o córtex da insula né Vamos ter um corte aqui da ínsula que eu esqueci de falar nada também o bar né também importante falar nada é isso então é isso é esse logo fica
mais escondido fica nas profundezas aqui deve ser legal escondido pelas porções operculares na causa que cobrem isso Alina na comer cidade cerebral a gente tem suco aqui mais profundo que é o suco circular deísmo Ah tá certo e também chamo Tenho que fazer as coisas interessantes é bem tranquilo de falar de tronco encefálico sistema ventricular mas eu acho que foi uma questão de tempo aqui né Rogério acho que a gente não vai conseguir dar continuidade nesse o pessoal quisesse você achar interessante pode costurar moto e de outro dia da aula ou tchau fica à vontade
aí eu sei que você tem uma agenda para cumprir muitos convidados para tranquila viu fazendo na verdade assim é muita coisa para uma aula só mesmo né até convidar o pessoal que ainda não conhece o trabalho do Fábio gente tem um trabalho muito legal lá no Instagram Então segue eu deixei o arroba aí para vocês tem um canal aqui no YouTube também que deu imagem na prática a gente tá mandando os links para vocês aí no chat tá Quer comentar também do curso para quem quiser aprofundar bom é deixa eu não ele não preparei nada
não eu juro que eu tô acho que o link do curso eu mandei para ele mas não preparei nada assim então a seguinte pessoal eu e faz um pouco mais de um ano que eu pensei ah ah fazer curso no curso online de ouvir o curso leva lá no meu imaginar prático né Qual que é a ideia do nele mais na prática como vocês podem ver o conhecimento de neuroimagens esse carrinho neuroimagem não é um conhecimento tão complexo assim ir é deixou muito simples Tá e Mas eu vejo que muitas pessoas não têm conhecimentos básicos
é como que eu mostrei aqui porque simplesmente porque não tiveram acesso ou esse aqui na formação é impressionante assim o exame tão importante né quem acompanha visitas em tecnologia né cirurgia desculpa não estão tentando experiência assim como as visitas da Síria Mas é uma parte muito importante da eu assisti mesmo assim pessoal não tem conhecimentos básicos né e o neuroimagem na prática Como o próprio nome diz né a ideia dele é abordar sempre somente as coisas básicas o raciocínio do dia a dia né e de forma muito prática né então os alunos eles valem exatamente
sistema aqui que eu utilizei para fazer aula né então eu ensino eles almoçar mexer em todas as ferramentas a fazer as reconstruções né E então eles tentam interpretar por conta própria o exame e depois conferem daí a solução dos casos o que é uma verdade bem prática com doença do dia a dia e o programa seguinte nele mas na prática é um curso de 12 meses né então tem pessoal que se assusta um pouco acho que não vai dar conta de associar com com o a rotina né de de estudo sobre trabalho e isso é
meio confuso e não sabe exatamente qual for women vou começar a fazer o curso e também Acaba ficando um pouco caro porque até acesso a usando porque lugar tem que contratar cedo ele fica monte de curso Acaba ficando um pouco um pouco porque não acessível para algumas pessoas né então eu tá acontecendo inscrições nesta semana é só na semana né até sexta-feira inscrições dos 56 que amava um formato mais básico da do neném mais na prática né e eu resolvi fazer esse formato mais básico porque eu vi aqui mesmo com o acesso a conteúdo mais
básico né do nele mais na prática o pessoal começou a voar já sabe pessoal até a conta para mim que na rotina o pessoal procura prata para tirar as dúvidas sabe então acaba vendo aqui uma referência é de neuroimagem e realmente pessoal exames dele mais não é 90 porcento das animais não é uma coisa complexa tá então basta você tem um olho em terra de cego para você realmente se destacar e percebendo isso eu achei que assim por muito tempo eu eu fiquei indignado né que ele ensinava ver imagem na formação da garota sai daí
eu decidi em vez de ficar reclamando só favor vou fazer um projeto aí para disseminar esse conhecimento né então ele mais na prática ele tem já tá com mais de mil alunos né mas mesmo assim tem muita gente que não consegue participar pelos motivos aí eu fiz 50 Cent e Akon está tendo as inscrições dessa semana até até sexta-feira o Rogério colocou o link aqui na descrição né e matei exploramos o tempo aí Desculpa Rogério também peço desculpa tem que sair para dar outra aula agora quem sabe que honra viu que aula fantástica obrigado mesmo
de coração fico super feliz para quem não sabe gente na minha época de residência e te acompanhava as visitas né clínica da Medicina e tudo mais sempre o doutor para dava um show né eu conheci esse trabalho dele na internet recentemente inclusive que super feliz e e com certeza recomendo para quem quer aprofundar em neuroimagem Sem dúvidas tem que seguir ele lá quando ele falou do curso também eu acho super importante porque assim quem é da área da reabilitação a gente não usa exames de neuroimagem para diagnóstico mas sempre a melhor avaliação Então como que
você conhecer né o exame demais pelo menos de ter as noções básicas vai ajudar a nortear a sua avaliação e tudo mais como você identifica que determinada estrutura foi envolvida isso é essencial mesmo tá então Fábio obrigado de coração tá nem sei como te agradecer obrigado mesmo foi uma grande homem aqui para mim viu só tanto de gente assim meu Deus do céu e bom Obrigadão viu e pessoal abraço aí eu deixei também pessoal todos vocês que assistiram aí é super o pessoal tava perguntando a sala de novo já e tudo mais então pode assistir
quantas vezes vocês quiser como eu disse tem mais aulas lá no canal do ter Fábio Então já deve estar o link também aí para vocês conferirem já se inscreva no canal tá é hoje em dia a gente tá passando por um momento ímpar né que tem muitas pessoas a extremamente profissionais podem o tesouro até conteúdo gratuito então aproveitem aí beleza mais uma vez obrigado de coração viu Fábio o braço dele Valeu então finalizando então nosso terceiro dia do evento Então Obrigado por terem participado com o link das inscrições já deve estar em baixo em algum
lugar para vocês aí é mesmo que tem 15 minutos para se inscrever então durante esses 15 minutos vocês tiverem algum problema aí manda lá no chat que a gente ajuda vocês resolverem tá então já Bastando gente que o nosso próximo encontro é na quinta-feira Tá então não é na quarta não tem não é
Related Videos
Indicação para Utilização do Conceito PNF (Kabat) - Leandro Giacometti
1:15:22
Indicação para Utilização do Conceito PNF ...
Neurofuncional
10,599 views
como diferenciar edema vasogênico do citotóxico
18:15
como diferenciar edema vasogênico do citot...
NEUROIMAGEM NA PRÁTICA - Fabio Takeda
18,895 views
TELENCÉFALO - Cérebro, hemisférios cerebrais, áreas corticais e funções corticais de cada lobo
39:19
TELENCÉFALO - Cérebro, hemisférios cerebra...
Prof. Felipe Barros
13,035 views
FASES DA MARCHA E ASPECTOS CLÍNICOS - Biomecânica com o Prof. Rogério Souza
17:59
FASES DA MARCHA E ASPECTOS CLÍNICOS - Biom...
Neurofuncional
28,101 views
Discopatia, aracnoidite, cisto sinovial... como avaliar na prática alterações de coluna da rotina
1:02:51
Discopatia, aracnoidite, cisto sinovial......
NEUROIMAGEM NA PRÁTICA - Fabio Takeda
9,127 views
Neuroanatomía seccional básica (TAC y RM) - El sistema "ridículamente simple"
41:45
Neuroanatomía seccional básica (TAC y RM) ...
Radiología e Imagen para Estudiantes
248,019 views
SISTEMA LÍMBICO (Aula Completa) - Neuroanatomia Funcional com Rogério Souza
14:09
SISTEMA LÍMBICO (Aula Completa) - Neuroana...
Neurofuncional
294,173 views
PRINCIPAIS EXAMES DE IMAGEM: o que você precisa saber para começar a analisar - FISIO EM MOVIMENTO
19:50
PRINCIPAIS EXAMES DE IMAGEM: o que você pr...
Fisio Em Movimento
8,710 views
Anatomia, Fisiologia e Semiologia Neurológica | Super Revisão de Neurologia
53:58
Anatomia, Fisiologia e Semiologia Neurológ...
Estratégia MED
24,229 views
Brain Imaging, Crash Course
58:19
Brain Imaging, Crash Course
The Neurophile (by Rutgers RWJMS Neurology)
766,427 views
Acidentes Vasculares Cerebrais (AVC) | Super Revisão de Neurologia
43:45
Acidentes Vasculares Cerebrais (AVC) | Sup...
Estratégia MED
59,801 views
Anatomia da mastoide / osso temporal na tomografia e ressonância residentes e estudantes de medicina
13:34
Anatomia da mastoide / osso temporal na to...
Radiologia Cabeça e Pescoço
13,253 views
Anatomia do Encéfalo - estruturas e funções
45:47
Anatomia do Encéfalo - estruturas e funções
Profa. Nayane Peixoto
29,165 views
Optogenetics: Illuminating the Path toward Causal Neuroscience
3:54:38
Optogenetics: Illuminating the Path toward...
Harvard Medical School
1,910,691 views
Córtex e Áreas Cerebrais (Aula Completa) - Prof. Rogério Souza
19:21
Córtex e Áreas Cerebrais (Aula Completa) -...
Neurofuncional
18,511 views
What is Cervical Stenosis? | Jeffrey Cantor, MD
41:06
What is Cervical Stenosis? | Jeffrey Canto...
Jeffrey Cantor, MD, Board Certified Spine Surgeon
6,405,951 views
SISTEMA NERVOSO: TELENCÉFALO (ORGANIZAÇÃO INTERNA DO CÉREBRO) - AULA PRÁTICA
31:42
SISTEMA NERVOSO: TELENCÉFALO (ORGANIZAÇÃO ...
Educação e Anatomia com Prof. André Oliveira
16,506 views
TC do Crânio sem contraste: Anatomia radiológica
18:22
TC do Crânio sem contraste: Anatomia radio...
Jezreel
243,981 views
[Neuroanatomia] 9 - Córtex I (Morfologia)
31:23
[Neuroanatomia] 9 - Córtex I (Morfologia)
MedCanal
35,725 views
Introduction to CT Head: Approach and Principles
1:02:22
Introduction to CT Head: Approach and Prin...
Navigating Radiology
969,542 views
Copyright © 2025. Made with ♥ in London by YTScribe.com