Morte celular - Necrose

14.61k views4354 WordsCopy TextShare
Profa Jamila Reis
Aula: Morte celular parte 1 - Necrose Disciplina de Processos Patológicos - FCE/UnB Profª Jamila Rei...
Video Transcript:
E aí [Música] o Olá pessoal eu sou Professora Jamile Reis e aula de hoje é sobre lesões celulares irreversíveis nós vimos que as células elas podem sofrer uma série de injúrias por determinados agentes lesivos a gente causar esse também chamados de Agentes etiológicos e que essas células podem responder a esses agentes tentando se adaptar sofrendo uma lesão reversível objeto da aula anterior que são os acúmulos intracelulares e eventualmente essa célula pode sofrer uma lesão que ela não consegue retornar ao estado de normalidade mesmo se o agente causal Foi removido essas alterações são chamadas de lesões
irreversíveis ou Morte celular existem hoje em alguns tipos de morte celular mas dois são mais importantes significativos para o nosso dia a dia e para o nosso estudo são eles a necrose e apoptose assim nós vamos dividir a aula em dois momentos a primeira parte a gente e na croze e depois a gente volta e fala sobre apoptose vamos lá e vamos falar de morte celular Então significa que a célula o as células passaram por uma determinada em júri alguma necessidade seja ela fisiológico adaptativa ou mesmo incentivada por um agente externo acionar o mecanismo de
morte celular a gente pode observar aqui nessa imagem do Robin que nós temos três faixas aqui representando essas células uma primeira faixa é uma representação da normalidade da homeostasia essa célula portanto ela sofre algum tipo de alteração algum tipo de lesão por exemplo a hipóxia que faz com que inicia um processo de alterações bioquímicas internas dificultando o processo de produção de ATP que dificulta o processo de manutenção do equilíbrio homeostático dessa membrana plasmática fazendo com que essa célula comece a o aumento da entrada de água por exemplo tanto nos retículos endoplasmáticos quanto nos lisossomos fazendo
com que essa célula enche Então o que a gente percebe que uma série de alterações estão acontecendo tanto a nível subcelular quanto a nível celular no entanto essas alterações elas ainda estão dentro de uma faixa que a gente chama de lesão celular reversível que foi objeto da aula passada então a gente fala aqui que uma vez removida essa causa Teoricamente essas Ela poderia se recuperar e voltar para a faixa de normalidade no entanto Há uma possibilidade dessa célula ela passar de um ponto que a gente chama de ponto de não retorno e essa passagem implica
em dizer que as alterações sucessivas que vão acontecer que a nível celular elas não são mais passíveis de retorno à normalidade o estado homeostático essas ela começa a sofrer uma série e nos nas suas organelas organelas primordiais aí para o funcionamento celular sobretudo mitocôndria ruptura de retículo endoplasmático rugoso ruptura de lisossomos Ou seja você começa a ter o derramamento aqui das enzimas digestivas no citossol fazendo com que haja e um tipo de morte que a gente fala agora que a necrose a definição desse ponto de não retorno ela não é absolutamente Clara mas está muito
imply cada nas alterações de forma permanente que acontece sobretudo em nível mitocondrial então a gente fala de fato da parada Irreversível e destrutiva dos processos metabólicos e atividades vitais eu acho que vale a pena que a gente chamar atenção que a gente não está falando na morte somática do indivíduo ou seja eu tô falando de mim o grupo de células ou eventualmente no próximo no próximo assunto que é de apoptose individualmente mas o fato é que esse grupo de células obviamente pode levar a uma disfunção tamanha orgânica e fisiológica que pode levar o indivíduo a
óbito de fato mas é que a gente não tá falando da morte informática e sim nível celular e a gente pode dividir de uma forma didática a morte o celular em três possibilidades uma morte chamada de programada uma morte regulado ou acidental a morte programada seria aquela morte relativa aos processos fisiológicos tá muito implicada portanto ao processo de apoptose que a gente conversa depois então seria aquela programação para que o seu organismo consiga manter o equilíbrio de número populacional se de um lado células estão proliferando dentro de uma situação fisiológica a partir da mitose para
o outro também tem que haver algum tipo de compensação para isso para que a gente não tem um desarranjo um desequilíbrio populacional importante já morte regulada é aquela morte que está relacionada a ativação de vias a e largas por fármacos ou mesmo por manipulação genética ou seja de tal sorte que a célula ela regula e esse processo não podemos confundir a morte programada com a morte regulada a toda morte programada é regulada Mas nem toda a morte regulada ela foi de fato programada é eventualmente uma célula decide entrar no processo de necrose por conta de
um injúrias ou eventualmente uma célula que escapou de um processo de apoptose ela entra no processo de necrose essa necrose aqui a gente vai dar um nome depois de necrose mas a gente fala isso depois então assim seria umas duas possibilidades tanto de apoptose quanto de necrose já morte acidental Essa é aquela de fato patológico onde as ela ela tá respondendo a mãe Júlia na qual ela perde essa capacidade de organizar o Edi metabolismo adequado e ela entra no processo de morte principalmente necrose mas lembrando que apoptose também pode ser estimulada por um processo patológico
com a distinção entre esses 3 tipos de mortes elas ocorrem geralmente pelos achados morfológicos e pela identificação desses aspectos moleculares envolvidos com a gente conversa agora especificamente sobre a necrose necrose é uma morte o celular ocorrida no organismo vivo e seguido de autólise pode parar se parecer bobagem né falar que ocorre no organismo vivo mas isso é fundamental se o indivíduo ele entra numa morte somática ele morre agora todas as células ali que ainda estavam vivas no momento do seu óbito é obviamente elas vão morrer essa sucessão de morte a gente não chama de necrose
a necrose portanto é a morte o selo e corre no indivíduo vivo e que é seguida de autólise é o interessante da necrose é que ela é sempre um processo patológico sempre a sua causa ela é uma agressão não pode falar em necrose como um estado fisiológico uma possibilidade adaptativa não ela veio de uma situação patológica humana é um fenômeno regressivo regressiva no sentido que o metabolismo ele vai diminuindo diminuindo em função dessa agressão e acaba levando ao processo de morte e perda da sua integridade celular ela ocorre em grupos de células não é uma
área geralmente dentro daquele órgão obviamente reversível a o mecanismo Depende de qual a gente que tá causando aquela morte e sempre ocorre uma Lise celular a partir do momento que você tem a ruptura de membranas de lisossomos você a e o derramamento desse material no meio citosólico o que acaba levando a uma alto de solução é diferente de autofagia aqui de fato tá tendo uma alto de solução e essas ela perde a sua integridade esse material ele é todo derramado aí no meio extracelular uma vez que essa morte ocorre toda essa área morta ela passa
a ser uma agressão portanto toda necrose ela é seguida de um processo inflamatório Até porque eu preciso de uma resposta orgânica para tirar remover aquela área morta de um indivíduo vivo então toda necrose é seguida de um processo inflamatório em algumas características morfológicas elas são bastante evidentes e recorrentes no processo necrótico então a principalmente características a nível citosólico nuclear uma característica morfológica histológica importante é a condensação do citoplasma que acaba levando a um estado que a gente chama de eosinofilia outra coisa que é muito visível no tecido até por conta da coloração geralmente corado aí
por HR né então quem corre o núcleo é hematoxilina que aquele corante roxo que tem afinidade por estruturas mais ácidas você acaba gerando uma área de maior condensação nuclear então núcleo se condensa geralmente pelos processos regressivos metabólicos onde é uma mudança de PH gerando um acidificação desse núcleo você acaba tendo um é super kromasil nuclear ou seja se não colocava corando fortemente pela hematoxilina e se tornando pequeno esse fenômeno a gente chama de picnose então a gente observa aqui comparando com essas células do baço normais a gente percebe esse núcleo mais condensado aqui embaixo a
gente percebe outra característica que é a fragmentação desse núcleo estão a fragmentação nuclear a gente chama de cariorrexe por fim a liso e também dessas ela leva uma cariólise completa cariólise portanto seria o desaparecimento desse núcleo que histologicamente podemos observar pela falta do corante hematoxilina ali naquele tecido naquele tecido Caso seja apurado em h e nessas duas imagens a gente consegue perceber nitidamente isso esse citoplasma eosinofílico ou seja mais rosa um núcleo pequeno e condensado o que notco ou no que eu em picnose a fragmentação do núcleo a cariorrexe e aqui várias células em cariólise
avançado onde a gente não consegue observar o núcleo é óbvio que a gente tem que estar muito atento a essas características quando da observação disso uma lâmina ausência de um núcleo o outro pode ser uma altura do corte desse tecido agora uma área com ausência não é eu cinofilia é importante fala muito a favor de um processo necrótico um tempo que interessante a gente conversar sobre a necro fanerose a necrofanerose é o aparecimento das características morfológicas da necrose no tecido significa que para que todas essas características da contestação elas precisam de tempo então um indivíduo
morre Nesse exato minuto de um farto do miocárdio e nesse exato minuto eu fosse ele tentasse fazer uma observação e ela disse meu carro eu não conseguiria ver toda essa alteração morfológica que a gente tá falando o que a gente precisa de um tempo para que sua para que isso ocorra então esse tempo depende do tipo de tecido da temperatura ali onde aquele órgão aquela aquelas células estão do metabolismo e também do método de observação talvez se observar a sua microscopia eletrônica de forma mais precoce eu já consegui se encontrar algumas alterações mais evidentes geralmente
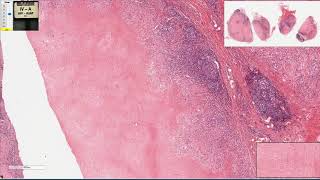
o tempo que essa necrofanerose leva para se estabelecer no tecido geralmente é um tempo de 6 horas bom morfologicamente falando aí e também de acordo com a causa a gente pode dividir necrose em alguns tipos bastante específicos então vocês vão perceber que algumas características fazem com que a nomenclatura da necrose nude são os principais tipos de necroses São a necrose por coagulação alike e a necrose caseosa a esteatonecrose a necrose gomosa E ainda tem a necrose fibrinoide Essas são as principais e a necrose por coagulação também chamada de necrose isquêmica é aquela onde nós podemos
observar no tecido um aspecto coagulativo que leva uma determinada eu cinofilia do processo e interessante e quem é essa eu cinofilia e Esse aspecto coagulativo ele mantém a arquitetura do órgão um primeiro momento então isso também é uma característica citológica no entanto essa necrose por coagulação ela é causada por isquemia tanto a gente também pode denominar de necrose isquêmica óbvio que aqui nós estamos fazendo alusão à etiologia dessa necrose que é a interrupção da chegada do fluxo sanguíneo que obviamente leva uma hipóxia uma nox e que faz com que haja todo aquele desarranjo o tecido
ao que passa do ponto de não retorno e essas células entraram em morte celular e nesta imagem microscópica desse rim a gente observa uma área bem definida triangular ou piramidal um aspecto mais pálido mais claro gerada justamente por conta dessa isquemia então macroscopicamente geralmente essas alterações da necrose por coagulação ela gera no tecido um aspecto pálido isquêmico ou seja falta sangue portanto fica mais empalidecido realmente a explicação para essa área triangular que ocorre é justamente pela interrupção de uma árvore circulatório se eu fecho aqui embaixo geralmente toda uma região meio que Radial ela vai deixar
de receber oxigênio portanto geralmente a área ela é piramidal vez eu não tinha aqui a gente também consegue observar uma área bem avermelhada no seu seja É bem delimitada por um Halo eritematoso ou hiperêmico isso representa o processo inflamatório intenso que a região sendo gerada pelo próprio processo necrótico e histologicamente falando nós temos aqui duas áreas bem distintas nessa lâmina nesse lado a gente consegue perceber um ausência da hematoxilina hora que que significa que eu praticamente não tem núcleo nessa região que é aquela característica muito clara da necrose que era a cariólise não é percebam
que a picnose ela ainda pode ser observada naqueles eventos celulares ainda reversíveis a partir do momento que isso vai gerando uma cariorrexis a fragmentação EA sua dissolução completa esse evento tá mais claro No que diz respeito à necrose mas percebam também que a gente pode que a gente mantém aqui arquitetura desse órgão é um rim portanto ainda consigo perceber alguns túbulos renais algumas áreas glomerulares nas absolutamente anucleado essa região toda é uma região e essa região que faz essa interface aqui esse front é uma região com uma grande quantidade de hematoxilina ou seja gente percebe
muito roxinho aqui né pontos que representam nossos núcleos tanto núcleo também em picnose o encare o reflexo do próprio processo de necrose que tá acontecendo ali naquela faixa mas também núcleos relativos aí as células inflamatórias que estão chegando em filtrando esse local então a principal característica da necrose coagulativa é a perda nuclear a intensa eu zoofilia e a manutenção da arquitetura no do órgão num primeiro momento nesta segunda imagem a gente percebe uma peça na croscop cadê um coração de um miocárdio onde a gente a gente observa todo uma área isquêmica aqui de necrose coagulativa
E logo depois uma área mais avermelhada o horário de hiperemia reativa que participa do processo inflamatório e histologicamente ajuda a perceber aquelas fibras musculares mas eu cynophile cas do que de costume e também a ausência de núcleo Olha só lembra que nas fibras musculares cardíacas nos miocardiócitos o núcleo ele é um núcleo central e a gente não percebe a presença desse núcleo nessas fibras musculares né ou seja está falando da cariólise assim esses núcleos aqui ó nessa área de tecido conjuntivo já representam as alterações ou a chegada das células inflamatórias a gente pode inferir que
tanto essa quanto aquela imagem anterior renal são áreas de necrose mais recente a área de necrose mais antiga a gente vai ter a substituição de toda essa região por um tecido conjuntivo neoformado na grande maioria das vezes e essa área de necrose isquêmica a gente chama de estar tem um podcast sobre isso lá durante essa semana tá bom infarto do miocárdio é um exemplo que ocorre aí uma necrose isquêmica da região bom outro tipo de necrose EA chamada de necrose por liquefação ou like e se ativa nesse tipo de necrose o tecido Portanto ele dá
uma impressão que se liquefez ou seja se fluid ficou é óbvio que aqui você tem características distintas macroscópicas o que levou a dar uma outra nomenclatura para esse tipo de necrose e geralmente a necrose liquefativa ela ocorre em áreas de infecções por bactérias a piogênicas ou seja o fato da infecção tá acontecendo gera ali uma chegada maciça de um processo inflamatório Agudo Então muitos neutrófilos desviando Lan e com o seu conteúdo naquela região gerando todo uma dissolução daquela área morta então a formação do pus é um exemplo de necrose por liquefação no entanto a gente
tenha que o exemplo do encéfalo que apesar de ter sido causado por um isquemia eu não posso chamar isso de necrose coagulativa porque ele não tem um aspecto coagular o aspecto que é liquefeito então no encéfalo aquela isquemia ela vai gerar uma necrose liquefativa então percebam que eu não posso colocar esse exemplo lá no outro tipo de necrose porque ela é isquêmica mas ela não é coagulativo psicologicamente falando eu não vou ter uma manutenção que te tura do órgão como a gente tinha lá na outra necrose por coagulação aqui você tem uma dissolução na área
né se o aumento uma região dessa aqui talvez eu nem tenho uma noção de que a área esteja de tamanha de solução que ocorre em Close o like Estação não há uma manutenção da arquitetura do órgão e nem aquele aspecto coagulativo é será que eu vou achar picnose cariorrexe kalihose claro que você vai encontrar tudo isso aí tinha uma forma dissolvida e nesse tecido outros tipos de necrose e necrose caseosa esse nome Case osu vem do latim decasil que é de queijo então macroscopicamente não determinado tipo de alteração que ocorre na tuberculose então a gente
encontra macroscopicamente essa característica de massa de queijo que como se fosse um queijo suíço onde você tem áreas esburacadas ali que ocorre nas cavernas tuberculose então necrose caseosa ela ocorre na tuberculose o processo inflamatório que vai acontecer nesse tipo de doença é um processo inflamatório crônico granulomatoso essa essa processo inflamatório ele gera uma ar é inscrito no centro dessa área circunscrita a morte dessas células que faz com que essa região ela tenha um aspecto coagulado mas não mantém a arquitetura do órgão Então a gente tem meio que um mix dessas duas situações da coagulação e
dá like essa ativa ela coagula mas faz uma área almoça então a gente percebe numa microscopia a ausência da manutenção da arquitetura daquele órgão então aqui nem de longe a gente lembra aquela arquitetura básica pulmonar EA gente percebe uma massa amorfa ou seja sem forma eusinofilos fica com aspecto coagulado alguns núcleos picnóticos e o processo inflamatório típico que envolvendo esse processo que a presença de macrófagos epitelióides linfócitos porque faz parte da do processo inflamatório crônico granulomatoso tá tela gigante é Sim aproveitando esse gancho aqui eu vou comentar a necrose gomosa a necrose famosa também uma
especificidade ela ocorre na sífilis terciária tão Lembrando que a sífilis é uma doença microbiológica é uma doença infecciosa né causado aí apelo pela bactéria treponema pallidum e eu tenho três fases a fase primária que é onde ocorre a formação de uma lesão única emoldurada no local da infecção que me chama de cancro duro uma fase de disseminação dessas bactérias pelo corpo que começa a dar as manifestações a que a gente chama de sífilis secundária e a evolução de isso caso não seja tratado aparece com a possibilidade de instalação de áreas necróticas na área decoração em
tecidos mucosas no cérebro Então são manifestações agora que a gente chama as ações da sífilis terciária manifestação volumosa porque esse nome porque macroscopicamente a área necrótica ela acaba conferindo uma área bem endurecido ao tecido com aspecto de goma arábica ali como se fosse um chiclete né uma borracha naquele tecido sozinho moza ela ocorre na sífilis terciária a de indivíduos infectados pelo treponema a esteatonecrose é um tipo de necrose ocorrida em áreas com bastante tecido adiposo ou ela é muito comum na pancreatite aguda macroscopicamente falando o fato de você ter a dissolução enzimática em cima de
um tecido com alta concentração de gordura faz com que você tenha uma reação química chamada de saponificação então macroscopicamente falando a gente pode ter aqui a presença do que os me chama de Pingos de vela tem que ser boa vontade para ver né então você tem ele aquelas áreas como se fossem Pingos de vela sendo derretidas ali macroscopicamente falando microscopicamente falando você tem uma de solução enzimática obviamente ela não mantém a arquitetura do órgão e ela já era essa aspecto mais esbranquiçados por conta do alto teor de gordura ali então a necrose enzimática gordurosa é
muito bem falei dos principais tipos de necrose que a gente divide de acordo com suas características macroscópicas ou agente etiológico ou características microscópicas Enfim então são critérios aí que a gente utiliza para dividir nesses principais tipos de necrose mais uma vez instalado o processo necrótico lembra que eu disse que toda necrose ela gera um processo inflamatório eu tenho uma área morta no indivíduo vivo então a gente precisa da cabo disso a gente precisa ter alguma forma de evolução dessa necrose as principais evoluções da necrose elas estão relacionadas ali a fatores que dizem acerca da capacidade
regenerativa do órgão que está sendo afetado bom então vamos lá se aquela necrose aconteceu no tecido que tem uma capacidade regenerativa interessante ou seja as células aquele tecido são células no mínimo células está estáveis né são células que ainda consegue voltar para o ciclo de divisão celular ou se elas Labs elas que constantemente estão no ciclo de divisão celular a possibilidade a gente remover aquela área morta pelo processo inflamatório que foi incitado ali e aquele tecido ele tem um reparo por Regeneração no entanto se essa área foi muito grande mesmo nesse tecido que tem uma
capacidade regenerativa ou se ele tem essa capacidade regenerativa com Card por exemplo não é o tecido encefálico tecido cerebral você acaba tendo a sua e são daquela área morta por um tecido agora conjuntivo Então vamos lá Regeneração seria a substituição do tecido do tecido perdido lesado morto por um tecido igual ao tecido anterior cicatrização é a substituição daquele tecido produtivo nem favorável é a conjuntivite da são daquela bom A ideia é que esse processo inflamatório ele tem que remover essa área que passa a ser um agente agressor tão áreas grandes ou de onde difícil fagocitose
o processo inflamatório ele envolve aquilo e forma um incitamento da região Qual a ideia de isolado o tecido e tentar manter voltar a homeostasia tecidual é uma outra possibilidade de evolução da necrose é caso aquela área necrótica ela ganha o meio externo então aquele pos aquela necrose liquefativa Essa é muito fácil da gente percebeu entender que aquela área ela pode ganhar uma via de drenagem né então os abscessos eles tem nem achar uma via de drenagem uma área de fiscalização e exteriorização daquele abscesso inferiorização não necessariamente para fora para o meio externo aqui mas também
para o interior para dentro de cavidades então a eliminação disso para o meio externo ou para dentro de cavidades a gente chama de processo de eliminação não estou conectá-los like se ativa mas também pode acontecer lá naquela necrose caseosa cavernas tuberculosos ali são formadas quando áreas necróticas elas se rompem e elas ganham os brônquios e são expelidos ali no processo E aí então alto se não é você tem ali a possibilidade de levar fragmentos ali daquele pulmão por isso que ele dá aquele aspecto de queijo né aquela aquele aspecto a casa eu uso e calcificação
geralmente ela ocorre em áreas de necrose mais antiga ou seja aquela que foi infestada áreas por exemplo do próprio processo lá quase o gente deu deu o exemplo da tuberculose ela também pode sofrer calcificação então a área de necrose antiga ela favorece a precipitação de sais de cálcio até porque a gente viu lá no módulo anterior que a entrada de cálcio ela é algo recorrente de um processo de alteração metabólica então aí eu ficar osso ele acaba precipitando naquela região gerando uma área calcificada também muito comum na tuberculose e por fim a possibilidade dessa necrose
ela entrar eu tô com meio ambiente Então a gente tem aí três principais tipos de Gangrena então a Gangrena geralmente não são imagens bonitas aí né a pena seca é a evolução daquela necrose que está exposto ao meio ambiente são geralmente a áreas de circulação terminal então ponta de dedo ponta de pé uma perna onde aquela área ela sofreu necrose Então a gente tem uma impossibilidade de qualquer tipo dessas revoluções anteriores e que comentadas Olha não tem como regenerar não tem como cicatrizar esse estar enfim o que vai acontecendo de fato é que aquela área
necrótica por ser terminal ela perde água ela desidrata então dá essa aspecto de seco de mumificado mais arroxeado pelo processo hemorrágico com essa aqui obviamente já nos fala a favor aí dá pô a idade da necessidade de amputação desse órgão uma vez não sei se vocês conseguem perceber nessa imagem uma intensa processo inflamatório aqui tá bem avermelhado quente porque todo esse pé nesse pedaço desse pé aqui é uma ar é uma área que é uma agressão então processos matou ele tenta eliminar essa essa região então a saída realmente é anto tá para que a gente
perca a parte não mas não perca o todo o outra possibilidade de Andreia é quando essa área necrótica ela é invadida por bactérias anaeróbicas então eu é um tecido com baixo oxigênio ação e bactéria anaeróbica deita e rola nesse lugar então ela acaba levando a um processo de proliferação intensa de bactérias favorecendo aí a uma umidificação do processo uma área com mais pulso com mais tecido amolecido então a gente percebe a importância da do tratamento dessas áreas de Gangrena porque você tem uma área suscetível a uma infecção secundária e aí a gente começa a pensar
em uma outra possibilidade de decorrência é ou de evolução que é a possibilidade de um choque séptico que levar esse indivíduo a óbito por conta dessa infecção secundária e a Gangrena gasosa É um tipo específico de Gangrena onde a infecção pelo gênero clostridium esse gênero clostridium ele acaba gerando gerando a formação de gás são lesões bastante expressivas rápidas e com evolução bastante ruim aí para o paciente é os tipos de necrose gasosa ela ocorria muito em época de guerra onde os indivíduos estavam entrincheirados ali na segunda guerra mundial enfim onde os indivíduos entre gerados com
ferimentos de guerra no ambiente úmido e mal se você tem você tinha ali a infecção pelo clostridium e muitos e muitos soldados ali foram amputados né por conta da presença dessa Gangrena do tipo gasosa tão sobre necrose era ISO vamos tomar uma águinha e voltar para a próxima aula de apoptose e
Copyright © 2025. Made with ♥ in London by YTScribe.com