RESSONÂNCIA DAS MAMAS: Quando pedir e como interpretar

6.51k views12052 WordsCopy TextShare
Caliper Escola de Imagem
Dra Daniella Prudente recebeu, no dia 26/08/2020, a Dra Sofia Cartaxo, Especialista em Imagem Mamári...
Video Transcript:
a mala da Sofia no grupo que a gente já uma de São Paulo e adorei depois eu entrei no Instagram dela foi lá fazer como diz minhas filhas você está ok fui lá olhar quem era o que fazia E aí surgiu uma relação bacana e eu tô sempre acompanhando o trabalho dela em ressonância de nome achei muito legal Sofia vim falar aqui para gente um pouquinho de ressonância de mama tá Sofia cartacho aí pós-graduada imagem da mama pela DP em São Paulo é Regis da mama de imagem da mama da nova diagnóstica João Pessoa muito
bem vindo aqui para ver eu espero que a gente passa muitas coisas juntas E aí e lá então eu vou postou para mim um para mim é um prazer imenso tá aqui a sempre foi seguidora quando o seu trabalho e quando a gente decidiu fazer essa aula é uma grande honra para mim poder falar um pouquinho para vocês seguidores dos seus alunos recorrência de mama que é um assunto que gera sempre muita curiosidade porque é uma coisa nova né então existe muito interesse em saber mais sobre o assunto então a ideia aqui é a gente
não tem como a gente passar todo o conteúdo hoje a noite ressonância é um um assunto extenso vasto então a minha ideia é trazer um pouquinho das indicações a ressonância e também a ideia aqui era ensinar a interpretar o exame né a entender como faz sequências para que cada uma serve como funciona o contrato a gente não vai aqui sair do ao dando a ideia é uma pincelada ela que você fica um pouco mais ciente de como funciona se cuida e aí foi muito moldar deixar só desligar aqui que o outro computador eu acho que
entrou se não vai fazer barulho só desligar se retira da sala deixa eu sair daqui dois computadores ligados agora eu acho que agora desliga o PC quando eu tava falando com ele agora quem são dois os dois somos aqui estou pronta pode compartilhar tela na tela nada aí o Olá Quem souber pergunta vai colocando no chat a gente vai fazer a instalação No final a gente conversa sobre as perguntas Então vamos lá a a chupar ficar aqui no modo on E aí oi oi Bom vamos lá conversa aí vou voltar que ia falar rapidinho como
eu falei a gente vai falar sobre ressonância de mama quando pedir e como interpretar então primeiro a gente vai falar sobre as principais indicações da ressonância de mama e um pouquinho da interpretação fala-se muito nos congressos sobre os de rádio das lesões Como faz lesões mais poucos que fala como faz para reconhecer essas lesões vendo aí sequência Então você falar você é umas o lojista você é um ginecologista recebeu o exame da sua paciente lá o CD você vê o laudo e você coloca o CD lá no computador e você não sabe reconhecer essas lesões
as sequências para que elas servem então a ideia da aula quando eu ia dizer gente conversou vai fazer uma coisa básica é que seja acessível para vários tipos de profissionais não só radiologia estejam iniciando a prática da ressonância como também o Vasco e eu já colorista saber reconhecer o laudo da paciência é essa vamos lá é a ressonância magnética diferente da mamografia e ultrassom ela é um método de imagem com técnica funcional ela consegue detectar as lesões através do real que causado pelo contraste endovenoso então assim a gente precisa do Contagem já é injetado o
contraste na paciente esse contraste vai aumentar o sinal é da lesão EA gente vai conseguir reconhecer pela ressonância e ele dá certo essas lesões através do aumento da densidade a densidade da permeabilidade vascular então princípio da ressonância aqui você temos uma lesão essa lesão ela vai ter vascularizado e quanto mais suspeita ou seja uma lesão maligna mais vasos ela vai ter então tumor ele vai liberar substâncias que vão promover o aumento dessa perna habilidade vascular vai formar novos vasos para no trio e o contraste vai entrar lá naquela lesão vai aumentar o sinal e a
gente vai detectar através do real e por que isso acontece o que acontece a Amanda ela tem a vascularização própria mas a lesão ela vai ter uma vascularização maior Então vai chegar contraste primeiro na lesão do que no parente mas a gente vai poder diferenciar O que seria uma lesão do que seria o parente em uma normal da mama é assim que a gente deve certa as lesões através da ressonância de mama é a ressonância ela me não tem a sua sensibilidade reduzida pela densidade do parênquima mamário diferente da mamografia que a densidade ela é
duas a sensibilidade do método a ressonância ela não vai ficar afetado então é um excelente método para mamas densas Porque mesmo com muito parente mas a gente ainda assim consegue fazer o diagnóstico do câncer de mama através desse real e da lesão por essa técnica funcional a mãe dá para medir a permeabilidade e da densidade passo lá oi oi e quando pedir Então esse é o grande que da história Há controvérsias quando pedir a ressonância de mama muita gente às vezes não está familiarizado com essas indicações porque assim a ressonância é um excelente método quando
bem digital quando não é bem indicado ela pode às vezes atrapalhar e a gente vai entender isso alonga que dá ao das principais indicações é o rastreamento no diagnóstico o tumor maligno já diagnosticado e na avaliação dos implantes e próteses mamárias no rastreamento eu vou seguir aqui as recomendações do Colégio Brasileiro não existe um artigo em conjunto do Colégio Brasileiro da Sociedade Brasileira de Mastologia da febraban e como é que eles recomendam na frame então mutação dos genes deve ser a um e o brca2 da paciente ou parente de primeiro grau com a mutação provar
a ressonância anual a partir dos 25 anos de idade ao menos do que mulheres com risco maior igual a vinte por cento ao longo da vida calculado pelos modelos matemáticos baseados na história familiar ressonância anual iniciando Dez Anos Antes do diagnóstico do parente mais jovens não é seus erros É sim antecedente de radiação notória entre os 10 e 30 anos de idade essa anual a partir do 8º ano após o tratamento radioterápico acidente pessoal de caçamba dançar inscrito e o invasivo e faz trazia lobular atípica carcinoma lobular in situ hiperplasia ductal atípica ressonância anual a
partir dos diagnósticos mulheres com diagnóstico de síndrome genéticas que aumentam o risco no caso de mama como lifralmene ficou bem entre outras e parentes de primeiro grau acometido essa nossa anual a partir do diagnóstico e um diagnóstico a gente indica Quando temos uma mamografia ultrassom normal e temos nomes olímpicos alterado é isso é eu até discutir na Live com com a Érica e assim eu falei Érica é exame físico alterado e exames de imagem normal ressonância ela falou assim é mas nesse caso já pode fazer a biópsia direto fala assim isso e ficará a critério
de cada um eu sou a favor de ir para ressonância para tirar a prova dos nove a antes de fazer a biópsia direto né então mas assim é uma indicação mamografia normal alteração passada seja operado ressonância é o próximo passo é descarga papilar carcinoma oculto em paciente começar axilar comprovada que é o maior culto da mama alterações pós-cirúrgicas achados duvidosos então paciente tem um acidente de Cirurgia ficou com aquelas lesões de extrato necrose aqui são duvidosas tanta mamografia para monitoração da gente sabe muito bem disso a ressonância ela pode tirar essa dúvida a respeito a
decisão duvidosa entretanto aí algumas ressalvas é Porque dependendo da fase que você peça responda não se a partir antes de seis meses assalto é para ficar triste agora também podem realçar então pode ser que não seja tão esclarecedor radioterapia também antes dos 12 meses antes dos 12 meses de de completado a o fim da radioterapia então é o Consenso fala o seguinte que ficou com dor os da ressonância não esclareceu ainda assim fazer a biópsia e às vezes quando você tem um achado B4 tava no ultrassom quanto na mamografia EA ressonância veio normal é ficou
na dúvida é melhor fazer a biópsia não confiar na ressonância Porque existe os falsos negativos também da ressonância Então é isso aí é um e tem que usar muito bom senso na hora de considerar a ressonância como como decisivo mesmo que ela mesmo que ela seja normal não tem que ser muito bom senso avaliar bem os outros exames os outros exames de imagem o quadro clínico da paciente até que ponto a gente vai usar ressonância para descartar a biópsia em ter muito cuidado com ele e doença de page a gente ver se não tem uma
extenção do hospital escrito ali a lenda da cometimento do da papile um tumor maligno já diagnosticada que ouvir rádio de rastreio como é que a ressonância entre aí para ajudar no estadiamento e na avaliação da mama contralateral avaliação de doença residual imagem cirúrgicas positivas e avaliação da resposta ao tratamento de quimioterapia na hora de Jeová tá comprovado que a ressonância é o melhor método de imagem para o estadiamento e para avaliação de resposta ao tratamento quimioterápico né adjuvante que têm maior sensibilidade inclusive o que tenha o maior proximidade com a resposta patológica completa é a
ressonância Oi aqui é um exemplo um casinho que eu trouxe de uma paciente que fez a ressonância pressa e painel e código que Peniel onde a gente vê que eu tomou regrediu na ressonância e eu trouxe para nós para isso que a reta não quer considerado o melhor método para avaliação da resposta terapêutica e esta estimado doença residual tratamento isso é um trabalho de 2.000 feio é a técnica do exame que a gente vai falar agora um pouquinho sobre o exame enfim utilizo que o aparelho aparelho de Alto campo magnético Campo a partir de 1,5
Tesla bobina de específicas para mama que permitam avaliação bilateral utiliza-se agente de contraste paramagnético qualquer lata de gasolina na dose de 0,1 mol porque o posicionamento em decúbito ventral com papilas livres na região central da da bobina vamos elas ficam pêndula solta na bobinha e é obrigatório o uso de contraste endovenoso para fazer diagnóstico tá deixa bem claro não tô falando de avaliação de silicone a faltou aqui a outra indicação eu tinha colocado lá no começo aqui avaliação dos implantes mamários e próteses de silicone que a ressonância é o método mais sensível para detectar as
alterações do silicone então é obrigatório o uso de contraste endovenoso para fazer diagnóstico de câncer de mama não estou incluindo aquilo que ele contém o exame de contraste e não tem exames em contraste não tem valor diagnóstico para câncer de nós e você não usa o contraste vocês não pode colocar o errado em seu laudo não tem errado no áudio para exames em comprar foi lá fazer exame trabalhar silicone Não já tô contraste não tem razão nós temos três planos de corte o corte coronal ou axial e os agitar o mais usado é o axial
por ter mais rápido porque você consegue incluir as duas malas no corte só e hoje em dia com as duas fecham você consegue confira fazer reconstrução no plano que você quiser sagital coronal então não tem que ter cidade é de fazer corte todo e parte de trás mas o protocolo não existe protocolo padronizado a dar um tem o seu protocolo é o que é o que funciona para o serviço para você mas o plano axial é o plano é mais usado é o plano mais rápido aí também temos o Sagitário é bom para variar silicone
então eu sempre inclusão digital em sequências que eu vou avaliar silicone a etapas do protocolo para lesões mamárias antes antes da administração do contraste a Geralmente se usa dois dois tipos de frequência como eu te falei isso aqui é onde eu tô falando de uma forma geral os protocolos eles podem ser individuais não existe um consenso como padrão para protocolo mas só que a administração do contrato nós temos as duas sequências mais usadas que são as sequências ponderadas em T2 e as sequências ponderadas em T1 a sequência ponderada em T2 é muito importante que a
gente vai vir mais à frente que ela veio controle das lesões e você pode fazer configurações de gordura ou sem saturação de gordura e essa coisa poder ali P1 é importante que você deixe tem faturado a Suécia a gente poder ver anatomia mamária ver a gordura mas a gente vai ver que cada um individual após a administração do contrato a gente vai ter as sequências dinâmicas 21 até fazer dinâmicas são feitas 21 após a administração do contraste para gente faz uma frequência imediatamente argan em comprar e depois a gente faz de três a cinco sequências
pode contar a quantidade de frequência é a critério do serviço entretanto mínimo 3 porque o próprio Polo abreviado ainda não não tá sem dosar então no mínimo três a cinco né pra gente poder fazer o diagnóstico e o pós-processamento que esse é o mip que é o mapa é as subtrações e as curvas as sequências ponderadas em T2 essa sequência ela avalia as leis que tem isso é que tem alto conteúdo de água ela vai ter um sinal aumentado quando elas vão líquido Então ela sair para identificar se isto fibra de normas que possam ter
um conteúdo a de líquido na sua composição linfonodos e coleções e colonos em Alto sinal em T2 e alto sinal em T1 e ele realça a gente vai falar um pouquinho sobre isso esse aqui é um ter dois tenta atrações do gordo e esse aqui ó essa aqui é conta atração de gordura e você pode ver aqui eu tô sem ocupam vai voltar aqui quando eu só tenho curso mas a bolinha aqui que tá brilhando é o sítio e o a bolonha é o Felipe aqui é outra dois sem facturação de gordura e com um
pouquinho mais difícil deverá os isto porque a gordura ela vai ter alta o final então aqui a gente suprimiu a gordura tirou o final da gordura e vai e ficou o líquido ficou bem exuberante para você consegue ver um líquido com mais facilidade quando a gente está pura Google sobre isso não fatura gordura a gente ainda assim consegue ver o líquido porém não fica o contraste não fica tão exuberante porque a gordura vai ser o Afinal como é que funciona cortou toda essa parte branca da mama é a gordura tá as bolinhas mais claras são
os cistos e o que você tá vendo escuro aí é o tecido fibroglandular e aqui embaixo assinar uma gordura ao final eu fiz afinal se não não sei dois sem saturação de gordura e as sequências ponderadas em T1 sem saturação de gordura é eu chamo que a sequência anatômica é como se fosse a mamografia da racional que a gente não tem contraste ainda essa sequência a gente serve serve para gente ver a anatomia da mama a composição do tecido fibroglandular é quantificar o que você se levando lá se é espaço certo era na mente dentro
acentuada a gente vai ver o parênquima mamária a sua quantidade a gente já consegue ver se tem quando você tem algumas portão Você tem algum nódulo dependendo da composição da Norma a gente consegue ver a parei de chorar fica a fila o telefone então é essa sequência anaconda ela sai para gente ter uma noção da mama como se fosse uma mamografia e eu gosto EA gordura é importante que quando a gente for ver algumas lesões a gente tem que voltar para ter um para ver se essa lesão tem gordura ou não né então no caso
da bicicleta necrose a gente fica perto e parâmetro você tem gordura bom então é uma é uma sequência aqui precisa ter gorduroso e cavalinha anatomia avaliar a assumir a quantidade de seu problema do lado só orais áreas de gordura no interior das lesões como cicatrizou necrose gordurosa e avaliar a morfologia dos linfonodos aqui é muito importante porque os linfonodos quando ele pede o hino gorduroso ele fica uma bolinha de baixo Afinal tipo essa essa Bolota Vocês estão vendo aí um câncer mas o linfonodo ele fica escurinho e quando ele tem gordura você vê que ele
tem um ao final Então essa é uma sequência no banco muito para avaliar linfonodo Oi e aí na sequência tem um O que é que tem alto final Então se tu ectasia ductal com conteúdo hiperproteica hemorrágico extrato necrose vai ter ao final limpa vai ter o final porque tem gordura e ela toma também vai ter ao final e o que que vai ter baixo assinale a sequência quebrada não mas também pode ser baixo o final não tem um o carcinoma e o hematoma antigo a sequências específicas para avaliação de silicone então a gente a paciente
que tá fazendo exame para avaliar o silicone 22 sequências que a gente usa a mais além do T2 do T2 clássico deste a gente usa duas sequências extras a gente usa uma com supressão do final da água e essa aqui debaixo a número 2 que a gente deixa só o silicone a cedo e qual a importância da sua frequência é para gente ver se tem rotura extracapsular porque qualquer outra coisa que brilhe no parênquima é silicone que eu suprimir a água se eu não sou primo a água eu posso confundir silicone com cisto então preciso
suprimir tudo que tem a água então vai pagar o parente né porque o parente mas também tem água vai pagar o farinha que nós vai pagar assista para pagar coleções tudo que tem água apaga deixando só o final do telefone paratiba então se eu tenho alguma coisa que brilhe fora do ela sombras forma de silicone bom então eu consigo dar o diagnóstico de altura extracapsular na de cima a gente apagou o final de silicone deixou só o final da água então vai ser o que você mandou lá batendo eu explico das coleções estágio para confirmar
os achados dos cientistas A Outra Sequência então para ver se tem coleção periprótese Enfim então são Dados extras para gente fazer um melhor diagnóstico com silicone uma outra coisa também silicone eu tô indo para casa de avaliação silicone não vou já tá contraste Olha eu para mim eu gosto que faça o exame completo com contraste porque processos inflamatórios que a gente não tem Contrato a gente não tem como dar satisfação real da cápsula fibrosa e é um um final inflamatório-infeccioso do implante então o exame sem encontrar você só pode ver se rompeu ou se não
vou a Liquida Shopping líquido eu não tenho como dar outros dados Além disso então eu acho importante que mesmo que o exame seja só para avaliar silicone e faça com contraste lógico se você tá fazendo um controle de silicone de rotura tá fazendo várias ressonâncias você pode pedir tem que sentem em contraste os outros mas é um exame só para avaliar silicone e a paciente está assintomática aumento do volume mamário Codó pode ser que tenha mais aqui rotura ali tem um processo inflamatório ou até outra alguma outra coisa a gente precisa contraste quando é que
tá eu vou dar só um exemplo eu não tô hospitalzinho aqui para acabei de lembrar mas vale a pena eu relatar ele é um paciente que ela ela fez uma mastectomia e ela evoluiu com uma dor mamária o aumento do volume mamário e dó oi e ela foi lá na sorologia fez a mamografia fez ultrassom tudo normal e achava-se que era uma contratura na contratura da planta de normal o que aconteceu quando ela foi fazer a ressonância ela tinha uma massa petropen daqui uma massaroca que era exatamente atrás da prova estava empurrando a prótese enorme
que tava invadindo parede torácica e que não tinha como conectado pela mamografia pelo tração devido à posição a topografia da lesão então é o contraste foi importante para a gente poder ver a a dimensão da sua lesão Para onde ela tava invadiram então assim eu acho importante que se use se encontrar a si mesmo que seja trabalhar é só silicone mas acho que é paciente não puder eu tiver fazer uma várias sequência de silicone não tem não tem problema Pode fazer só se encontrar vamos continuar sequências dinâmica almoçam está com essa ginásio e a gente
usa o tão ou saturação de gordura para ir pode comprar em relação a saturação de gordura é não é mandatório para aturar a gordura Eu já vi exames em serviços onde não atura a gordura ah não tá errado não faturar gordura sem saturação de gordura mas quando vocês atura a gordura você vai ter uma melhor interpretação que vai ser vai ser vai ter um contraste você apagar a gordura e tem um alto final e as lesões vão ter ao final tô com o contrato e vai aumentar o sinal do parente das lesões então se você
tem um final da gordura você vai ficar você vai perder esse contraste então é você está faturando a gordura você tem um melhor você consegue encontrar melhor esse contraste melhora só para não comprar sem relação aparente na gordura não pode de contraste não vê novo Tô falando de Contagem bom então é eu uso para apuração de gordura marido serviços um ter um contato oração de gordura sequência geral EA sequência dinâmica ela serve para avaliar a morfologia EA cinética da lesão vamos lá mas não tem um dá pra gente ver a lesão depende se tiver muito
parênquima ou uma mamografia uma densa você não vai conseguir ver a morfologia da lesão que ela vai estar obscurecido pela aparente né porque a lesão ela vai ter um sinal igual ao do tecido igual a mamografia a gente não vai conseguir ver a não ser que a paciente tenha no tecido espaço então o contrato para a gente joga o contraste lá vai aumentar o sinal da lesão por causa da quantidade de vasos que palming Fabi da personagem da permeabilidade vascular principalmente cada então televisão ela vai sobressair a gente vai conseguir ver lá é além do
parente mas já consegui ver ele já consegui ver a forma as bordas a gente vai falar com alguns tipos de lesões que a gente tem e é para isso a gente usa o contraste é para isso a gente usa aí sequência dinâmica realiza-se uma sequência antes que a pré e depois seguido de três a cinco consequências totalizando de 47 minutos o e aqueles tem um exemplo de como funciona o estudo dinâmico Então a primeira imagem aqui do lado esquerdo é o P1 pré-contraste e aqui eu tenho de 1 a 4 que é como eu faço
eu faço um pré e faz um dois três quatro fases pode comprar E aí que acontece a gente tem o que a subtração então Imagine que a o parênquima mamário mesmo assim a injeção do gadolínio ele já tem um sinal né o tecido já tem um final então seu objeto o contraste eu vou ter o sinal do parênquima já existentes da imagem mais o final do da gestão do gasolina período que já os o contato aumentou o final então eu vou ter uma somatória de sinais e quando eu faço a subtração eu tô eliminando o
sinal do parênquima antes de jantar o contraste então eu deixei ali acender só o que captou o contraste isso é a subtração e essa licitação ela nos auxilia a dessa que tava melhor as lesões têm nos confundir com um parente para desafio então falando assim de uma forma bem simples é apaga tu deixa tudo preto e só acende o que tem luz ou seja o que entrou contraste o que não tem luz acesa que não entendeu contraste vai ser apagado em cima Vocês estão vendo ali na sequência dinâmicas em subtração vai fazer tudo para vender
se tu vai atender parente mas o que tem vascularização e que não tem partículas sub pra falar serve para deixar exibido somente o que tem vascularização fez o quê realço E aí vem aqui o a grande mágica da ressonância e o parênquima mamário ele o pico de Ralph dele é 120 segundo ele o Realce é lento porque os vasos os baldes eles não são tão impermeáveis pois não com doenças lado ficou menor e mais reduzido não pensa permeabilidade aumentada então o contraste vai chegando aos vasos do parente na mais devagar Então o pico sempre 160
segundo mas a lesão se ela é maligna o uma lesão que tem muita nem toda lesão Mas nem toda essa quem vai atualização ela é maligno mas não que tem uma vascularização ela vai real ela pode realçar e quanto mais tempo seja quanto mais vasos ela tiver mais rápido ela deixar o site Então as duas primeiras fases o primeiro e segundo pode umas duas fases mais importantes porque o parente ainda tá realçando então com falta nesse primeiro nesse segundo eu preciso levar em conta E aí dá atenção tá então a primeira EA segunda são as
duas principais sequências para gente distinguir o que é a lista realçando que a gente vai considerar levando em consideração a premissa de que o câncer ele vai ter mais atualização a densidade vascular aumentada e o aumento da permeabilidade Então vai chegar mais o contraste mais rápido e ele tá mais rápido bom então a gente faz primeiro deve ter consegue ver aqui pela imagem onde o primeiro a primeira frequência ela tá um pouquinho mais escura e ela vai clareando a medida que o tempo vai passar Então como funciona a sequência dinâmica fez uma sequência pré-contraste injetou
contraste EA fazendo imagens sequenciais ao longo do tempo então primeira fase segunda fase terceira fase quarta fase atualizando aí eu não digo nem um minuto dois minutos porque às vezes dá mais do que um minuto uma fase então não gosto de falar um minuto porque vai até cinco negócio Enfim então primeira fase segunda fase terceira fase e papel a UNIP é uma reconstrução ele faz uma reconstrução volumétrica da sequência dinâmica eles ficam tem uma mapinha 3B a gente tem como ter uma noção geral a gente pode ver aqui na imagem do lado direito a gente
tem aí uma legal então a gente consegue ver é a frequência que os mastologistas que não fazer uma reforma três gostam que Eles olham porque ele consegue ver se tem alguma coisa é ali só que às vezes pode ser sua parente E aí a gente tem as curvas simétricas né então o que é a curva cinética a gente viu que o que realçou eu tenho rosto e a gente vai avaliar como foi esse real né é qualitativa e quantitativamente e qualitativamente a gente tem a fase inicial EA fase a fase tardia a fase inicial ela
vai até nos dois primeiros minutos para gente vai avaliar quando rápido essa lesão e os dois primeiros minutos para gente ver um take o qual Quanto tempo demorou para daquele comprar chegar na lesão em casa que tem rápido intermediário e devagar as lesões que realçam rápido elas são mais suspeitas porque o assunto de contraste que é maior então sinal que ela tem muito vasos vasos começa a minha alma então isso já é um final de a gente suspeitar então a fase inicial é a ela avaliação quantitativa EA qualitativa que é a partir dos dois minutos
a gente vai ver como funcionar se a curva Então a primeira parte do gráfico que ele subiu rápido bom e na segunda a partir dos dois minutos a gente vai ver se essa curva ela continua subindo se ela se mantém estável ou se ela cai porque o que que tu faz a diferença se ela continua subindo para a gente chama de persistente é sinal que essa lesão ela ela não tá lavando muito rápido você já perde a habilidade dela até as dela não tá tão acentuada porque ele consegue segurar o contraste na lesão tem muitos
vasos mas a permeabilidade e não não é tão alta então consegue segurar o contraste legal quando a se mantém estável é que a gente amadinho determinado que a curva emplacou forma platou a gente não sabe e é porque a perna que tem muita facilidade é muito assim não é então a gente fala que a curva in the terminal bom e quando ela cai rápido Aí sim há suspeitas que a gente vê que ela tá muito permeável então o contraste extravasou aí da lesão que a gente chama de lavar o archote então uma lesão que ela
realça rápido e vai cair rápido uma lesão altamente suspeita a gente ela deu a chave e até 84 por cento de valor preditivo positivo para malignidade Stephanie linfonodo intramamário que pode ter a curva em U Shout Mas aí você vai olhar isso é conhecer para encontrar você vai ver se lá no T2 o final tá alto fino ter um final tá alto a localização do linfonodo é o tamanho dele falou que tá você vai avaliar tudo isso cada dia que nós ele falou mas ele falou assim ele pode ser uma curva em uma chave um
acordo tratou a gente usa como macumba perfeita a associado a morfologia da lesão EA Cuba persistente fala mais a favor de benignidade Magazine fala mais a favor as curvas cinéticas elas só vão ter alguma finalidade quando a morfologia da lesão Ela é bem mesma Ou seja quando tem uma lesão que elas ficam frita ela é oval ela é homogênea e eu vou fazer a curva e eu vejo que a curva é para tu ou salte então aí sim eu vou precisar fazer suspeitar da sua lesão e fazer uma biópsia que a lesão Ela é suspeita
ou seja um logo irregular e ficou lado é um Realce não adular segmentar e a culpa foi para assistente eu não vou dizer que essa lesão é benigna eu vou esquecer a curva então morfologia morfologia ela é soberana acusa ela só vai ela só vai ter alguma função com alguma finalidade eu arrumo a importância quando eu tenho uma lesão que têm uma morfologia benigna então aí sim eu vou olhar a curva para fazer aí a ver qual vai ser a minha conduta mas assim é temos três tipos de Cuba tipo 1 tipo 2 3 o
tipo um persistente de uma forma geral fala mais a favor de fala mas depois de benignidade Mas temos que ver a morfologia delas Não primeiro temos do plástico que é uma curva é que fica em cima do muro e temos uma Fraude que é uma curva perfeita e o relato de fundo de parede cima então aquele já passou das sequências aqui eu fiz uma pincelada é de como funciona o exame de quais são as sequências que utilizamos para que serve cada frequência como uma avaliar a cinética da lesão a funcionalidade do contraste e agora eu
vou falar algumas particularidades do exame aqui eu não vou falar eu não vou dar aula de pirralho falar porque assim que eu fosse falar birraze morfologia vó eu ia passar aqui noite abrir a gente ia dormir aqui então se vocês quiserem depois a gente eu posso voltar aqui em um segundo momento a gente falar sobre errado mas agora eu falar sobre algumas particularidades que isso é importante pra gente poder entender o exame e o primeiro que eu acho mais importante é o Realce de fundo diferente lá porque eu pegar o principal causa de falso positivo
nos exames de ressonância e o que é o Realce de fundo de carente mas o Realce normal do parênquima mamário a mano a atualização Então os dias é só contrário ele vai réu só alguns parentes Mas eles vão realçar mais e outros né mas existe a Alto do Pari onde tem vaso vai realçar então o que acontece quando quando como definir o que é real pedir fundo de parentes que é algo normal de uma lesão que vocês vão ver aqui na ressonância nem tudo o que é cansa é nódulo vai ter outro tipo de lesão
que acha mais real que não magoar e pode ser confundido com o Real ficar em cima então um Realce de fundo de parente mas geralmente é simétrico bilateral e difuso e a sua avaliação deve ser feita na primeira subtração porque a gente consegue diferenciar é o que é que fica assim se você for deixar para avaliar no final pode tá tudo misturado é aí que rima com lesão Então você tem que avaliar o resto de diferente maravilhosa fabricação a gente pode ficar é esse esse esse Real foi trabalhar ele é simétrico e é quanto o
réu estou geralmente o real do par ímpar cidade de fora para dentro de periférico de lateral para Medial o último último que realça a última parte do país no final é a papila o que você tem aí a injeção contrário melhor subtração E você tem um Realce aí reta o Léo Lá primeiro do que o restante do parente mas então é algo que você tem que respeitar porque geralmente ele faz com que o a moldura é independente da quantidade de tecido fibroglandular então uma muito dentro não quer dizer que o seu parente não vai faltar
muito posso ter uma mamãe mais espaço glândula espaço e tem um parente que marque realçou muito Então depende da quantidade de tecido fibroglandular entretanto assim que tem a maior quantidade no ar têm uma chance maior de ter um Realce disputa de parente não vai resolver antes dependendo da fase do ciclo menstrual e menopausa pós-menopausa mais beneficiadas da ressonância por contar que já passaram dos estímulos hormonais dessa fase então a ressonância Ela tem maior benefício nas mulheres pós-menopausa varia com a fase de ciclo hormonal como eu falei e o estrógeno EA progesterona vão tem influência no
parênquima mamário é pensamente a na segunda metade do ciclo vai ter um aumento da densidade vascular então e ficarem que não vai ter uma fluxo é de gasolina maior ganhar os a mais Então o que é recomenda se puder realizar o exame entre o quinto eo décimo quinto dia menor chance de impregnação eu prefiro do 7º ao 11º que quando a o estímulo hormonal tem menor influência no parente nova mais lógica paciente e tem precisa de um Racionais urgente vai se operar planejamento cirúrgico aí você não vai se você não puder respeitar esse período você
não vai aceitar o carinho você não sabe quando é que a Paciência tá no círculo Tem gente que fala para fazer o o PEC progesterona vai ter na rua na prática não vejo ninguém fazer é grau moderado se acentua o aí a gente pode ficar parente eu vou mostrar aí mais ou menos a imagem a gente pode fica o parente nem leve mínimo leve moderado e acentuado os graus moderado e acentuado eles podem reduzir a sensibilidade do exame ok ok realça muito posso obscurecer aí algum real que não não vou lá o até mesmo lesões
pequenas por conta que o parênquima renal pode atrapalhar um pouco a minha peça só falta positiva quando ele acinetico sim o parente não arrumar ele pode usar os fazer uma forma assimétrica o comum é que realmente de uma forma simétrica mas ele pode resultar de forma simétrica e aí quando confundiu fazer hoje é o calo do radiologista quando ele real sejam Nascimento que você fica sem saber aí Realce do aparência é uma lesão enfim que ocorre acontecer é um cara é um pastor de falso-positivo e ele pode ser considerado um trabalho nas modernas falo que
ele possa quadrado um dia o marcador para o câncer de mama quando o parênquima realça muito estudos nós aqui tá paciente apresenta maior risco para o câncer de mama e aí tem alguns fatores que vão influenciar esse real de fundo de Carisma O que é um mental Realce dos fundos de parentes na fase lútea do ciclo menstrual e na metade do ciclo terapia de reposição hormonal EA lactação o que reduz a o Real foi de fundo de parentes a menopausa radioterapia inibidores de aromatase aqui é um exemplo de como é a imagem do Real se
difunda de parentes nas nos quatro graus o mínimo leve moderado e acentuado importante que você inclua isso não no laudo deve ter nós tem que ser no laudo conter essa quantificação do real de parente não presta se passa isso Oi e aí rapidinho vou falar das principais formas de apresentação das vais na restaurante aqueles três principais formas Vai ter muito fraco o nódulo e o Realce não lado lá o foco é um ponto de Realce menor ou igual a 5 mm o maior probabilidade foi uma lesão benigna ou uma alteração funcional e qualquer algo inespecífico
quando quando a ele não tá perto de lesão maligna já diagnosticada quando a paciente não é de alto risco Então ele pode ser algo específico que você pode repetir o exame de ressonância ele vai precisar da parecido pode aparecer em algum outro lugar quando eles são múltiplos bilaterais eles são benignos fez ignora coloca-la óculos multilateralismo específicos não tem significado nenhum é mas quando ele é um machado Novo seja paciente fez uma ressonância no outro exame ela apareceu lá com aquele papinho Machado novo há algo suspeito quando o primeiro exame da paciente é parecer um pouquinho
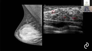
de controle fez nele Pois é assimétrico também pode controlar fez mês que pode ser um Realce transitório do parente pode ser real é o seu aquele pedacinho ali assimétrico né que é o tal do radiologista você não sabe diferenciar Então você controla em seis meses que pode ter um conjunto de focos e tem um Realce na vitória do pai Às vezes tem o nódulo é Passe aqui algumas imagens de nódulo todas elas são malignas essa primeira é você pode ver que é um Realce periférico em aula no centro da lesão Para Mais Escura seja com
final mais baixa porque tem uma necrose aí no meio esse tipo de Realce de nódulo ela também suspeito Tem pior prognóstico então isso aí é olhou bateu o olho nem chuva chuva é já é uma já é já é mais linda tá aqui para o contrário mas não vem aqui buscar de maxixe que pode dar uma lesão parecida trouxe ficado passar aqui na segunda imagem é um Realce heterogêneo e na terceira imagem um Realce mais homogêneo Então se vocês podem ver que as bordas são irregulares as não se você então assim os três casos a
estão de nódulos é os peitos eu falei errado não posso não Oi e aí eu trouxe aqui o Realce não natural que seria um Realce no mundo lá se não é o que não é a nossa você não consegue delimitar uma bolinha Então a gente tem alta do hospital e a esse esse primeiro aqui vai auxiliar o Real conseguindo entrar na segunda imagem essa terceira imagem aqui no mip também outros ela segue mim tá tão real não nódula e ele em algumas situações todas as mulheres são suspeitas e ele falava avó principalmente de Carcinoma do
clássico carcinoma lobular e ele pode também 6 tempo e ter áreas de caça mandou para invasiva eles não tô Central não lado lá gente tem novos ali no meio otaku House pano e você não consegue diferenciar como é o caso da segunda embora segunda imagem é porque eu não tô com aquela coisa dinâmica ela segunda imagem ela é um tempo real consegue nem tá com nódulo é contigo sair no meio então fica até lá na saroca realçando e você não consegue diferenciar O que é real senão adola eu quero olha a gente escreve é como
um rato mas não usar se alimentar Oi e aí A Profecia os principais falsos positivos Na ressonância acredito que seja o motivo de muitos médicos ainda tem receio de pedir a ressonância por causa dos falsos positivos Porque qualquer dia era biópsia desnecessária e às vezes a lesão era só evita Na ressonância ou serviços não tem biópsia nessa não pela paciente não tem condições de pagar uma biópsia Anésia às vezes paga e não é nada e para quem é Primeiro quis dizer que os falsos positivos Na ressonância eles são proporcionais às respectivas doméstico está rodando a
curva de aprendizado a gente tá começa a experiência própria é quando ele está começando a lidar Essa é a gente ainda não tem essa maturidade para diferenciar o que que dá para comprar o áudio que não dá para falar o quê que pode escrever que não pode ser a gente fico mais dedo porque assim nem o Realce ele não é patognomônico da lesão maligna você vê café o parente na pode simular uma lesão maligna Então assim Então o falso positivo ele é proporcional a partir do médico falou tão então a curva de aprendizado é um
pouco lenta pois quanto mais exames você vê mais crack você fica no celular que tá tudo na vida mas principalmente para ressonância Então existe alguns falsos positivos mais importantes são as certo né Cláudio tinha só que nesse caso ela pode causar e mesmo que você tenha lá sua sequência tem 14 final pode ser que de dúvida ainda assim porque você pode pegar é de fibrose EA fibrose ela não tem gordura então e realçou E aí ela vai ter casa assim que você vai ficar em dúvida aquilo ali é uma alteração Não fica triste ao ou
não tomou 10 mod alterações gráficas adenose esclerosante Apache a taxa o conselho de biloxi a imagem e na ressonância a gente acha que clã que quando você vai fazer a biópsia limpa é um taxa campeã de falso-positivo Na ressonância Nassif granulomatosa lobulite linfócitos corante a cicatriz radiada e lesão esclerosante complexa e é contrário a razão já surgir comédia um falso positivo e a sempre ficar vinho para vocês verem como Eu repito peço desculpas tem o cursor aqui mas aqui do na mama direita no lado esquerdo você vê ali no meio sempre uma lesão calça que
é o mapa 3D e aqui no outro na aqui no lado direito a gente ver ali em cima no podem superior uma lesão que tem um Realce periférico em anel e isso era uma chip granulomatosa tá e ele na hora lá que a gente viu lá e era um canta lembra e não tem jeito já cansei de pegar mastites que simulam Franciele faz tempo de passear vai ser Sabe às quartas-feiras e eles a gente não consegue diferenciar Na ressonância Como eu disse para vocês o mais que a curva a seja benigna a gente não vai
se confiar na curva eu já tive um caso de um paciente que tem uma sulfite extensa e tinha cama do pai fica ansioso pelo meio E aí fazer uma biópsia para pegar la noche que fazer uma biópsia pegava machico e o câncer não me levava até que um belo dia pediu relacionadas eu consegui virar uma farofa inteira não consegui diferenciar o que era mas tipo assim era tanta E aí ela terminou a fazer uma mastectomia porque a gente não conseguiu definir o que era só ficar mais chique e ela tinha os dois ó e aqui
para terminar eu queria deixar a minha mensagem que a gente ter sucesso com ressonância em relação a planejamento cirúrgico que falar um pouquinho sobre isso o planejamento cirúrgico e deixa eu receio de pedir racionar que é planejamento cirúrgico com medo de falso-positivo de ampliar cirurgia que seria um quadrante e virar uma festa mesmo necessária por conta que pode aparecer positivas e geral maior número de biópsias ampliar a cirurgia mas eu queria dizer que o seguinte que a ressonância no planejamento cirúrgico quando você tá disposto a biopsia aquela lesão nossa nossa é muito eficiente vai vai
ter sim porque sabe aquela questão um tumor já diagnosticada a gente fica com mais deles o que aparece a mais fica suspeito Mas aos pouquinhos perto das lesões não é preciso sim de oficial pra gente ter certeza é essa Finale é ou não mas o sucesso da ressonância é o médico policitante saber as indicações precisas do exame fazer uma indicação precisa do exame para fazer mal educada demais atrapalha do que ajuda isso é como radiologista é atrapalha assim porque pode realizar coisas que você vai acarretar em biópsias necessária estresse para paciente estresse um médico também
então é importante que a indicação seja precisa né se você fez um diagnóstico de um nódulo no ultrassom na mamografia ele já é suspeito é é biópsia gente não é para pedir ressonância vai mandar para a festa não é verdade raspar tentar quatro lá no show e ele vai autor já vai voltar porque ele já tô feio então aqui ah não sei se você já tem um diagnóstico já confirmado e aí você pega fazer super deve ser hoje mas a indicação do exame é muito importante é e o serviço que você realize o exame com
qualidade tem um rapaz necessário a técnica adequada o conhecimento de tudo isso e o médico que faz uma declaro interpretação do exame então é são três pilares que a gente ter sucesso aí com a ressonância das mamas mas a gente pedindo por isso direitinho é da Fé ó e aqui eu queria deixar um artigo eu acho que é um de ressonância um overview que fala tudo antigamente era Draco era abelha mas é fim de 2007 para não me engano ele tem uma mais arranjo 2019 onde ele faz a revisão Geral de ressonância Oi e eu
acho assim imprescindível imprescindível ser né lei a gente tem que ler esse artigo hoje eu não sei o QR Code está Vou ficar devendo o que respondi mas eu vou disponibilizar o arquivo em PDF no meu grupo eu vou dar para Dani ela jogar no grupo dela então quem quiser ler o artigo Eu recomendo muito que lembre castigo então era isso que eu tinha pra dizer hoje e muito obrigada tia obrigada Sofia fala Ótimo adorei em várias perguntinhas aqui deixa eu botar aqui no chat eu tenho uma também é o senhor a gente começou aqui
nossa eu voltar porque tem vários E aí É a Tânia botou assim sofia paciente que sente incômodo na mamografia e pede para fazer apenas ressonância convênio libera você recomenda essa conduta e não é eu não também não né não é o que o paciente quer né você acha que eu respondo você substitui a mamografia Ah não Então olha eu vou trocar mensagens para Cristiane que ela falar que sim mas eu não estou deixando oco' a é a gente não reclamou tá térmico tá aqui não sabia que tinha para minha a Ivete Sangalo da ressonância para
gente fazer então ela fala que no Brasil não por conta que nós não estamos prontos para substituir a mamografia na população em geral Mas o que eu tenho um paciente que vai fazer a fazer do jeito faz mas assim não é não quero fazer o quê ao sinal nodular o Realce que nós vai ficar na dúvida vai criar um problema só que tem um problema é a gente vai criar um propósito em cima Pode ser que aconteça nada seja maravilhoso não dê nada ou então deve certificar-se o câncer dela maravilha mas pode ser que de
falso-positivo E aí vai gerar um problema vai gerar ansiedade entendeu então assim não é recomendado para você que seja um caso extremo um caso o outro é proibido gente não é proibido tá não é proibido trocar ressonância pela mamografia não é a gente quer é mas assim o não é o recomendável não era para fazer você recomenda que os ginecologistas peçam em alguma fase do ciclo ou Pode vir qualquer hora fazer foi aquilo que eu falei né entre o quinto eo décimo quinto dia a primeira fase do ciclo menstrual já preferencialmente o sétimo primeiro onde
ele tem um estilo hormonal mais resolvido então aí a chance de impregnação do parente não é menor então respeitar isso aí pelo menos ricos já que será que é muito fazer você vai fazer na primeira fase do céu que pelo menos respeita esse aí o mas isso aí a clínica perde para a gente pede quando ela vai marcar a gente pergunta a data do 5 a gente coloca lá não entendeu a gente a gente tem que sair você encontra indicações para o gadolínio bom então as contra-indicações do gasolina fala aquelas lá que a gente já
tem para ressonância paciente que tem função renal alterada alergia né então é uma forma geral da ressonância em relação a mama especificamente falando Alana é a gestante gestante não pode usar o gasolina e paciente nessa nefropata não é para não é tem que trazer o cliente de cafeína para trabalhar com Pão Real Então tá sem querer se você não faz depois nós vai para não não então tá outra coisa aqui deixa o Realce não nodular segmentar o linear sempre bi-rads 4 é Sim sempre depois a Débora botou aqui tem uma dúvida como você se posiciona
em relação às situações em que o médico faz biópsia sem a ressonância e ainda antes da patologia chegar aí eles perdem a ressonância Então vem tudo realçado que ele fez um processo inflamatório né E tem esse fator de confusão como é que você faz diante dos o áudio ele fez uma biópsia da mama depois que ele fez a biópsia que ele já tem resposta depende do tipo da biópsia Às vezes a cola e não atrapalha tanto a fica mal também eu tinha tratar e às vezes a cola e não tá aparecendo aí eu coloco no
áudio que foi feita algum procedimento cirúrgico eu consegui pegar paciente vai lá em vez de fazer a corre vai fazer a biópsia cirúrgica fez a biópsia cirúrgica veio tomou na hora de comprometido vai mandar ressonância E aí eu vou colocar né que seja uma tá com uma festa da Camila ali as margens são comprometidas a gente não sabe que é o que é lesão E o que é a manipulação cirúrgica a gente coloca aqui no Aldo tem Cola mega feliz não dá porque 56 meu dia um da cirurgia até seis meses atrás somente vai raça
ruim o procedimento tanto cirúrgico mamotomia também pode que pode fazer uma compra fazer fazer fazer inflamatórias escreve que o exame Está limitado cirúrgica não paguei não quer pastar atrapalhando né a interpretação não tenho como diferenciar o que seria alterações a partir hoje ali lesão a Francisca pergunta aqui Sofia é sempre necessário pedir contraste Ou você já faz automaticamente tentar o pedido tem que ser solicitado tem que prestar a massa magnética com contraste das notas completos para o escrita e não falei que a gente pergunta paciente ela ela tem algum problema a gente faz um questionário
Zinho né para ver se tem alergia que tem alguma alteração de base que não possa fazer a ressonância e se ela tiver tudo ok e ela aqui não temos que autoriza a administração de contraste a gente e a gente agente administra mas o dela que fez meu pedido e eu também acho que ela pegando que jeito e com silicone se tiver assim é ressonância magnética para avaliação de silicone você orientar a paciente que o parênquima não vai ser a gente tem colocar cônico aqui em Salvador por causa disso a paciente aguarda uma cabecinha pequena e
todo mundo se conhece né Sofia e aí paciente que eu fiz ultrassom aí ela falou que queria trocar o implante por fazer a ressonância não deu nada de seis meses depois ela voltou com o nódulo palpável e pediu a ressonância ele tinha quatro novos então eles estavam lá só que não fiquei contraste que eu fui conta de água luz silicone e aí foi assim fofoca todos os seres ai voando Bota o dedo você faz sempre é isso que eu quero saber ou você diz o paciente Olha tô avaliando silicone na tua Valéria parente não eu
vou lá conversar eu vou converter que eu converso todo eu converso com toda só chegou com silicone e geralmente aqui as metas já me conhece as médias já mando ele conversar antes de mim o mesmo que seja com para silicone se a paciente vem dizendo que não é com clash aí já me chamam aí eu vou lá como é que porque a senhora não quer fazer como ela tem uma coisa que a gente precisa fazer uma companhia de orientação sobre o contraste para médicos e pacientes porque todos têm muito medo que com a chance a
coisa do outro então fico achando que não tem uma reação anafilática por isso é muito raro com gadolínio ele já eu volto a gritar melhor isso eu vou conversar com ela vou explicar vou conversar com a médica ficou preciso vou explicar o porquê do contraste como eu falei no momento da aula por mais que seja um silicone pela só falta inflamatório associado eu não vou poder me inscrever no Aldo entendeu Às vezes uma contratura de único senão a gente tem na nossa cidade a cachorra idosa e aí se eu não coloco se eu não coloco
com o Robert diagnóstica assim pelo pela imagem tudo bem que o diagnóstico de contratura clínica mas para quem pedir então se você concorda concorda com ele não conferir como é assim contraste não fazer contratações quem não posso fazer vontade assim entendeu então assim mas eu achei uma paciente que ela ela fez a primeira ressonância com contagem a gente deu diagnóstico lá da roça dela que aconteceu ela não foi atrás de ir para cá me implante passar um tempão seis meses lá e ela queria ver como é que tava rotura ai eu já sabia que era
uma moldura assim era só para ver o desenrolar da rotura evolução da cultura não precisa colocar mais comprar faz se encontrar aí eu fiz em Contagem foi Não não fazer bobagem porque só que a gente avaliar a evolução da cultura aumentou se tem alguns pagamento enfim a gente não sei mas nesse caso é um caso Extra ela já tinha uma ressonância anterior para gente fazer a comparação só tem uma aqui bem para Santa Sofia assistir lactante tem que parar de amamentar ou não E se sim quantas horas não não precisa não precisa não não precisa
parar de aumentar a não ser que você queira parar você guarda aí o leite por 24 horas mas não preciso que a gente pede aqui vocês vazias aquelas mamas antes de fazer o exame é lactante gente a gente não recomenda fazer ressonância e pintar é aquela que pede porque não é nem por que não pode é porque assim as mamas elas vão estar muito indicada nós tá muito vascularizado e eu falei então não sei se vai no Face no exame vai ajudar muito que a gente fala para esperar três meses vocês amamentação para fazer ressonância
agora óbvio que a paciente precisa fazer essa marca por algum planejamento terapêutico quimioterapia aquela x o motivo ela precisa ela pode fazer ressonância e ela não precisa parar de amamentar A não ser que ela queira por 20 passou a Karen pergunta aqui paciente de alto risco Então o que por exemplo filha com câncer de mama amante irmã ser indicado mamografia ressonância anual quê que cê recomenda paciente de alto risco para carregar a paciente de alto risco como eu te falei a primeira recomendação lá em cima lá do rastreamento fazendo a combinação mamografia não se mostre
relacionar a outra onde humano ela faz uma sacanagem E aí uma mamografia material só para você ter 36 se mete de você fazer nada no outro finesse e você faça mamografia Então é isso é o estratégia que está sendo adotada no rastreamento da paciente de alto risco intercala a mamografia convencional mas a ressonância não tem um lugar que não Aí você fica primeiros seis meses nele é perfeito tem uma aqui que a massa botou assim com relação ao gasolina houver algumas mortos no Rio de Janeiro alguns anos atrás não conheço mas acho que a companhia
interessante eu sei que teve no interior de São Paulo e na realidade foi contaminação auxiliar de enfermagem injetou outra coisa ou alguma coisa com gasolina o garoto ele tem sido paciente e tiveram várias motos no hospital inclusive um grande serviço de um grande chefe lá de São Paulo mas acontecendo foi falha humana não conheço muito a morte relacionada à gasolina você sabe Sofia e nunca tive nenhum problema nem nunca presenciei nenhum problema geralmente quem tem histórico alérgico a alguma até mesmo já tinha algum problema com gadolínio no passado e precisa fazer ressonância que a gente
fala para fazer a ressonância acompanhamento no dia que tem anestesista no serviço você qualquer coisa que acontecer a gente tem ali o saldo é dona que exista para para ajudar então paciência até mesmo ela não sabe que tem alergia o gasolina e o histórico alérgico ao pelo né Eu já teve algum problema com gadolínio marcar o exame falar isso na hora de marcar o exame marcar pedir acompanhamento do anestesista para acompanhar esse usar uma pergunta que interessante que eu tinha deixado até para você também paciente com microcalcificação na mamografia Você acha que vale a pena
fazer ressonância O que que você acha de ressonância trabalhar ação de microcalcificação Aí eu fui pegar vamos lá depende do tipo da Micro da microcalcificação vamos lá as microcalcificações a mostra que ela está mais afiadas da caçamba dos princípios de baixo grau que ele fica falando para mim que eu tava passando elas são essas férias a casa do pai coração ali né Elas são associadas as nossas perde-se Então as amor é de baixo grau cá cima do princípio de baixo grau Pode ser que ele não Realce não vai não Vinte por cento dele podem não
ser detectada ressonância é um exemplo de ressonância falso negativo é só naquela pode ser falso negativo normal e a paciente tem um não existe nenhum exame de imagem na lama sem tempo fé todos eles vão ser falsos negativos não existe nenhum exame que esteve certeza absoluta calça não tem para a gente não existe então a associações da Mor faz elas podem usar o pau na ressonância Então nesse caso talvez a ressonância não vai ajudar muito então se você já tem uma mamografia você tem lá assustar com as amostras e não é indicações de ração biópsia
a vai lá fazer uma família então a maior faz uma medicação de alto grau do cartãozinho do princípio de alto grau e eles traduzem a mamografia Como criar uma hora dessa a acrescentar o gênero e Agnelo conectadas essa sim vale a pena você fazer essa mas não como degraus que eu tenho que fazer as férias para você para a gente fazer uma bolsa a minha primeira sabe fazendo na primeira não não como diagnóstico mais para avaliar inscrição porque tô caçando Kuiper é uma doença é estrangeira entre as vezes a mamografia é só a ponta do
iceberg Então existe uma porção do carro mandou parecido que ele não classifica classificação da do tá fazendo com a cabeça e para de lá né croze então nem todo o nem todo o câncer se necrosou nem todos respeitam a ressonância ela vai dar uma extenção mais acurada ela vai dar uma extenção mais acurado da lesão então para carcinoma ductal in situ de alto grau a ressonância é superior para avaliar a extensão em relação a mamografia então sim para classificações dependendo do tipo Essa é a ressonância ela é válida tá é mas aí a gente tem
que ver aí nós não é indicação eu tô com classificação para fazer na sua marca porque assim o que vai acontecer rodar derrete quadro e ela vai ter que fazer a biópsia para você trazer hoje ou então pode ser que você tem uma classificação a nossa já peguei gente paciente com calcificação normal entendeu E aí vou desbloquear vai para casa dormir não tem que fazer a biópsia Então tem que ponderar isso aí a restante ela vai entrar aí como encorajamento uma ressonância fora do período ideal então assim dá um Realce é simétrico que deram B3
repete já no próximo ciclo ou você repete seis meses depois eu ia pedir as minhas coisas depois também acho que depois se você fosse fazer uma sequência se virasse moda agora e todo mundo fosse fazer ressonância de mal qual seria a sua sequência abreviada Sofia e essa coisa abreviada é mesmo só sequência abreviado já fiz uma demora viu demora mais frequência abreviada deixa eu te falar já tô fazendo o quê que eu faço assim o que seria uma abreviada ideal para mim um ter dois sem saturação de gordura porque eu tenho ter dois porque os
dois é importante que a gente precisa ver se tem líquido nós vamos certo então tem dois é importante ele escreve gordura para poder ver se a lesão tem gordura aí no meio ajuda a gente dermatobia porque quando está pura aguda a gente perde os parâmetros os parâmetros anatômicos Então eu preciso da gordura para poder avaliar os parâmetros não então eu faria e deixa de ser muita dois doido contato temperatura forma não tem uma cirurgia fazer anatômica e o líquido 1 É sim o pequeno que eu não consigo ver por conta que a gordura gente fica
bem linda eu também não vou trazer você consegue olha direitinho é tudo é hábito então assim não ter dois puro puro e fazia um pré e da esposa já resolve aí uns problemas todo mundo problemas as carteiras mais agressivas e a durante e adorar quanto tempo sai 30 minutos não 30 nem me frequência hoje 2:30 mesmo apertar hoje dura 18 - 16 17 ou 18 18 18 minutos tem um pergunta é doido primos também aceitável então aonde hoje o que eu faço pergunta 2 32 pré e 4 portas acabou tudo axial desafiou a e todo
planeja pelos que você faz bip ou não não passa nele para todo mundo você faz mim para todo mundo em lá eu consigo reconstruir se eu não fiz na você já consigo fazer nosso Kale também então não consigo mesmo assim Aí você faz o hot 100 ou você faz você fazer Sagitário também todo mundo sem silicone axial todo mundo conceito também porque eu consigo ver melhor mesmo que eu reconstrua não fica perfeito ah não fica não fica uma bom resolve com silicone da eu faço digital a beleza chover mais você tem alguma perguntinhas que nós
alguma coisa aqui tem mais uma em Campinas no Hospital Vera Cruz foi injetado é folclore carbono por engano é isso mesmo eu não lembrava Luciano sabia que era no interior de São Paulo né daninhas perguntinha xô vê lo ela achou voltar que eu passei em uma aqui lesão volumosa quase ocupando quase toda mama o câncer infiltrativa avançado mas não faz imagem de nódulo você fala como real é ao sínodo lá ele não falaria como nódulo irregular não fala o Realce Realce é alto de fusão uso também gosta espera aí cadê cadê cadê eu aqui é
alto de fogo você falou aqui tem que apresenta Realce na cama direita com moderada cinto águia contralateral leve so real e indefinidos e da B3 calça simétrico Então depende tem que ver aí né tem que eu tenho que olhar a lesão tenho que ver que tipo de comércio Realce é que faz dificultar com a História Dela entenda é ressonância o B3 gente eu pensei ele não tá muito bem documentado é uma terra de ninguém ela vai fazer a vistoria e só sai um trabalho mas não tá nada muito bem documentado em tem muito cautela na
hora de gente ver como funciona esse B3 aí não dá para dizer sim a da B3 gente é o Realce assim mais da refeição não dá para dizer quem quiser aí o contexto o contexto da paciente a lesão esse sobre elas vão analisar o contexto Em que fase do Círculo fatores de risco olhar os outros exames de imagem então assim Oi quem sair para beber assim que paciente menopausada que não tem erro Suzana usando Harmonia se acha que tem muita diferença a do rabo de parente não tá falando ela não tem mesma coisa que você
não tem fase de ciclo né não tem nada não eu não tem mais Harmonia a paciente após não pagar ela realça mesmo assim ainda tem altos diferente como é que entrou na menopausa ela não vai faltar em cima mas ela vai diminuir essa oscilação entendeu extremamente densa acentuadamente acha que tem que fazer uma ressonância o aumento da densidade já é um fator de risco para câncer de mama isoladamente o aumento da densidade não tem essa indicação formal de aumento da densidade indicação de ressonância que que você acha então na minha conta temporariamente densa então Não
me comprometa assim não existe o homem da cão para fazer ressonância magnética e mamadeira 100 rito tradicional não existe aí você fala para mim Ah mas a ressonância ela serve serve mas não tem recomendação é não é não não não tem não existe é por sua conta e risco é outra coisa aqui nunca mais sequências com contraste tenho 22 que você faz são volumétricas não não não existe essa conta com contraste em ter dois a sequência com contraste então a desculpa eu falei assim eu falei com Mas elas em contraste errado tem contraste tem muita
dois que você faz um volumétricas o rapaz reais O que você acha do ABC no protocolo padrão Oi o que não eu não faço difusão e Ah então tá acho que é só foi muito bom olha vários pedidos Como diz Rafael de casamento a jura maravilhosa de aulas maravilhosas de ressonância Mag que quer brilhar em ressonância magnética gente não desculpa eu acho que você vinha esperando aqui no viagem de muita gente é muita não tem coração não é sério só posso falar que a gente de madrugada aqui falando de cada coisa cada coisa cara tem
que ter uma coisa também adorei Eu acho que eu tirei todas os falsos positivos você falou bastante as microcalcificações você falou a sequência abreviada que eu tava curiosa da sua duração do exame que o seu é super rápido depois depois aqui embaixo depois eu te passo uma sequência rápida para você tá bom praticar aí o que que você tá fazendo obrigado a você eu penso para trazer de ouro decoração adorei Obrigada viu Rafael Muito obrigado é um prazer conhecer você vai fazer uma foto trazer Calma calma eu acabei de mandar para o grupo no chat
Aliás o artigo que você falou que mandaria aquele dos Essa fanart é eu baixei aqui que tava tava aberto ele coloquei no chat ele Castiga Super didático ele é um resumo de tudo que eu falei aqui Você tem ideia eu estudei duas vamos lá sim quer aprofundar em ressonância e eu recomendo ler esse arquivo e o livro da Alice Brandão esse esse essa aula eu me basiei muito no no capítulo que ela tem eu acho que ela no primeiro que é que está frequentando o restaurante de mama então assim é bem mastigado super fácil de
entender foi a primeira leitura que eu tive primeiro contato pelo livro da Alice e esse artigo aí que é mais moderno ele faz um overview de tudo de relacionada do que tá usando em reprodução é desculpa já comendo pega isso é a lança site antes da gente finalizar deixa eu falar aqui da iogurteira Top Therm só para avisar o pessoal que têm curso tem curso da Carne pelo agora os cursos estão AD e semi-presenciais né então vou mostrar para vocês aqui os próximos aqui e agora nos dias é entre 14:26 do Norte vai ser o
curso de tireoide região cervical compulsão esse curso é ministrado pelo Dra Daniella Prudente e Doutor Ricardo Souza Léo responsável pelas funções e a gente tem também entre os 1993 10 o curso de Doppler de carótidas e vertebrais todos esses cursos podem ser feitos ao vivo em HD e para quem tá na Bahia ou tem como vir até aqui a os cursos podem ser realizados é também tem tem a possibilidade da parte prática tá certo é maiores informações então site da caliper www.escolatrabalho.com.br lá tem o telefone de contato e aí a gente passa os detalhes Tá
certo dessa parte então do meu chão não tem mais nada para falar Dani a fazer a foto de vocês duas perante todo mundo abre o vídeo eu vou fechar o meu eu vou fechar primeiro é isso perto pronto OK Pera aí que eu tô ainda não ainda não gaste um sorriso não só um pouquinho Sofia sofre Dani olhando para a tela por enquanto só as professoras isso perfeito deixa eu ver se ficou bom se dano vai puxar minha orelha depois dizendo que parece que estão fazendo meme e fazendo e Dorinha Dani Dani você olhou para
baixo na hora bem na Câmara tá lindo sorriso bem bonito Sofia olha para câmera Pronto agora sim perfeito agora é a hora de quem mostrar o seu modelito é outono inverno É eu sei que tá muito frio no Brasil aqui em Salvador tá muito frio já chegamos a 25 graus eu já é camisa hoje vão apertando a corrente pede já tiver Gol vamos lá tem pouca gente ainda tem bastante espaço e o rapaz povo acho que não tá muito vestido hoje Bom vamos lá mais uma chance ainda tem vaga Nutella Tá bom então vamos lá
todo mundo olhando pra câmera sorrindo e Prontinho registrado altenticado quarta-feira da semana que vem a gente começa o mês de setembro a gente está fazendo a lista da programação de Setembro mais próxima quarta-feira é a sessão de casos clínicos a gente tem uma casinha interessante Manda aí para gente discutir Vou te mandar um beijo eu quero mandar dois e um para minha mãe e um para Helena que está me assistindo a e como o mundo é pequeno né Sofia mundo é pequeno tá que eu tô vendo ela aqui na minha frente mas saudade dela é
não que as pessoas de Bom Gosto São poucas acabam se encontra isso aí gente boa noite boa noite pessoal Parabéns Sophia obrigada a cada em qualquer ficar para gente acabar a nossa listinha E aí é só sair acabar nossa força meta de coisas para fazer o quê que eu vou
Related Videos
Aula Dra Daniella Prudente: Aprendendo interpretar o BIRADS com casos clínicos.
1:08:01
Aula Dra Daniella Prudente: Aprendendo int...
LADIF
8,705 views
Abordagem ultrassonográfica da gestação inicial: o que é preciso informar no laudo
1:05:11
Abordagem ultrassonográfica da gestação in...
Caliper Escola de Imagem
3,471 views
Técnica de RM mamária: Impacto na interpretação e diagnóstico
1:03:54
Técnica de RM mamária: Impacto na interpre...
MAMA INRAD
372 views
SNL Weekend Update 5/3/25 |Saturday Night Live May 3,2025
14:21
SNL Weekend Update 5/3/25 |Saturday Night ...
Vua Phim Hay
313,851 views
Saúde Hormonal no Climatério
39:46
Saúde Hormonal no Climatério
Patricia Vieira Nutricionista
2 views
Explante, explante meu_PodCast - EP 2 - Dr Eduardo Fleury & Mariana Fortti
1:14:28
Explante, explante meu_PodCast - EP 2 - Dr...
Explante Explante Meu_Canal & Podcast
750 views
Dr. Luciano F. Chala - Ultrassom de mama: técnica de exame e ACR BI-RADS
1:30:28
Dr. Luciano F. Chala - Ultrassom de mama: ...
AULAS MÉDICAS - MEDICINE CURSOS
59,808 views
Sessão como eu laudo BIRADS
2:42:55
Sessão como eu laudo BIRADS
Sociedade Radiologia RJ
23,231 views
Live com Dr. Eduardo Fleury sobre o Granuloma Induzido por silicone em cápsula de prótese de mama
1:01:39
Live com Dr. Eduardo Fleury sobre o Granul...
Dr. Ricardo Miranda - Cirurgião Plástico
2,926 views
A Working Man (2025) | Jason Statham 🔥 Full Movie 🔥 New Action Movie English HD
1:56:15
A Working Man (2025) | Jason Statham 🔥 Fu...
Maik McConnell
454,901 views
A maneira mais fácil de descrever nódulos no ultrassom de mama | Galvani Filho
15:35
A maneira mais fácil de descrever nódulos ...
CRM Positivo com Dr. Galvani Filho
105,888 views
Lesões de Potencial de Malignidade Inderteminado (B3) e Procedimentos Percutâneos
49:19
Lesões de Potencial de Malignidade Inderte...
Breastmit
130 views
Como programar corretamente o protocolo do Crânio na ressonância magnética
30:38
Como programar corretamente o protocolo do...
EADPLUS
11,831 views
DANI CONVIDA: Doppler Hepático - com Dr. Wagner Iared
1:05:26
DANI CONVIDA: Doppler Hepático - com Dr. W...
Caliper Escola de Imagem
6,918 views
Doppler da artéria oftálmica | Escola Caliper
58:06
Doppler da artéria oftálmica | Escola Caliper
Caliper Escola de Imagem
2,669 views
Dr. Luciano Fernandes Chala - Ultrassom de mama (Estudo de casos)
52:36
Dr. Luciano Fernandes Chala - Ultrassom de...
AULAS MÉDICAS - MEDICINE CURSOS
23,558 views
Live RM de Abdome (Instagram)
1:16:42
Live RM de Abdome (Instagram)
Simplificando Ressonancia
11,772 views
Live sobre a relação entre prótese de mama e doenças reumatológicas e autoimunes
41:51
Live sobre a relação entre prótese de mama...
Dr. Ricardo Miranda - Cirurgião Plástico
422 views
Por que saber se suas mamas são densas?
5:13
Por que saber se suas mamas são densas?
Dra Daniele Duarte · Saúde das Mamas
4,672 views
Ressonância das Mamas - Avaliação sistemática
28:07
Ressonância das Mamas - Avaliação sistemática
Imaginologia Mamária
8,120 views
Copyright © 2025. Made with ♥ in London by YTScribe.com