YTScribe
Login
Get Chrome Extension
Open main menu
YT Scribe
Like it? Make YTScribe even better by
leaving a review
Get Chrome Extension
Pricing
Terms
Privacy
Support
Sitemap
Copyright © 2025. Made with ♥ in London by
YTScribe.com
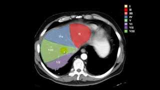
Segmentacion hepática
Seek to Custom Time
584.05k views
2 Words
Copy Text
Share
leonardo coscarelli
Transcript
Timecoded
Chapter Timestamps
Summary & Quiz
Punctuate Transcript
Video Transcript:
No transcript available.
Try Again
Related Videos
16:00
🥇 Anatomy of the GALLBLADDER and THE BILI...
Anatomía Fácil por Juan José Sánchez
340,578 views
8:43
Aprende segmentación hepática en menos de ...
Dra. Ceci Ferrario
8,707 views
10:30
Segmentación Hepática 1 - BRISBANE 2000
Nahuel Constantin
8,791 views
18:53
Irrigació de pelvis 1
leonardo coscarelli
334,868 views
16:54
These SUPER FOODS can CLEAN your LIVER!| T...
Dr. Veller
8,555,047 views
7:59
PERITONEO 1
leonardo coscarelli
615,586 views
44:14
SEGMENTACIÓN HEPÁTICA POR ULTRASONIDOS
dr.ricardodomina
19,722 views
26:38
Liver Functions
Dr Matt & Dr Mike
286,158 views
53:48
TP 19 B yeyuno ileon y bazo pptx
leonardo coscarelli
157,214 views
12:06
Anatomy - Liver Segmentation (Cantlié's Li...
Dr. Carlos Andrés García
96,236 views
10:25
DIAFRAGMA.avi
leonardo coscarelli
418,462 views
11:45
Bile Pathway, Gall Bladder & Pancreas - An...
Taim Talks Med
245,832 views
12:24
Analítica Hígado (Perfil Hepático)
Medicina Ilustrada
190,372 views
1:03:19
07.1 - Imagenología del hígado, vesícula b...
Radiología e Imagen para Estudiantes
169,399 views
21:42
segmentación hepática
Pablo Sidelski
173,841 views
33:29
EMP Liver physiology
Sinapsis EMP
448,128 views
26:39
Anatomía - Hígado (Configuración Externa, ...
Dr. Carlos Andrés García
202,799 views
15:37
HISTOLOGÍA del HÍGADO Parte 1
Repaso Histología
17,569 views
59:22
HISTOLOGÍA: SISTEMA DIGESTIVO III: HÍGADO,...
Dr. Cristopher Fuentes
44,792 views
14:20
Hígado Anatomía ¡TODO lo que tienes que sa...
Mentes Médicas
47,494 views